Темный, почти черный налет на молочных зубах, может наблюдаться детей любого возраста. При этом улыбка смотрится некрасиво и неопрятно, изо рта возможен неприятный запах. Однако главное, что черные зубки сигнализируют маме о том, что в организме ребенка сбой. Это побуждает не откладывать визит к стоматологу и другим специалистам, которых порекомендует доктор во время осмотра ротовой полости. Понимание причин, которые провоцируют образование налета, поможет предотвратить его распространение и сохранить здоровье зубов.
Почему у детей возникает на зубах налет?
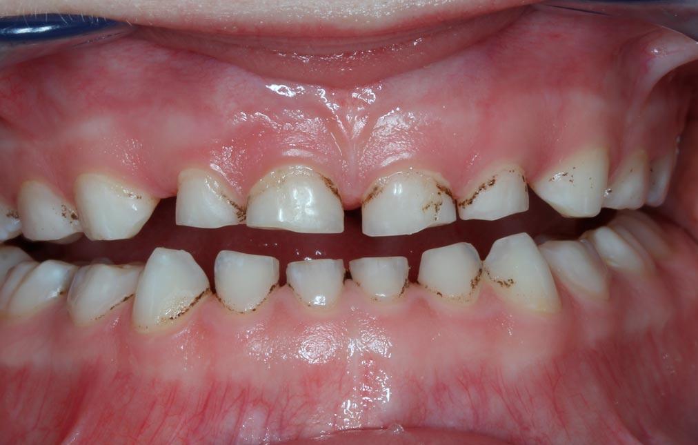
Пигментация на детских зубках может возникнуть неожиданно. Иногда темная кайма, пятна или точки появляются буквально за одну ночь. Отметины в первую очередь поражают внутреннюю поверхность зубов, а затем – внешнюю. Из-за этого их бывает трудно обнаружить сразу. Причины появления пятен могут иметь как стоматологический, так и совершенно другой характер.
Врачи отмечают, что черный налет и точки на зубах у детей могут возникать по нескольким причинам. Одной из основных является недостаточная гигиена полости рта, что приводит к накоплению бактерий и образованию зубного налета. Также на состояние зубов могут влиять неправильное питание, особенно употребление сладостей и кислых продуктов, а также недостаток фтора. Важно помнить, что такие изменения могут быть признаком кариеса или других стоматологических заболеваний.
Для лечения черного налета специалисты рекомендуют регулярные визиты к стоматологу, который проведет профессиональную чистку зубов и даст рекомендации по уходу. В домашних условиях необходимо уделять внимание качественной гигиене: чистить зубы не менее двух раз в день и использовать зубную нить.
Профилактика включает в себя не только правильный уход за зубами, но и сбалансированное питание, богатое витаминами и минералами. Регулярные осмотры у стоматолога помогут выявить проблемы на ранних стадиях и предотвратить их развитие. Врачи подчеркивают, что забота о здоровье зубов с раннего возраста закладывает основу для крепкой улыбки в будущем.

Причины, связанные с внутриутробным развитием ребенка
Возникновение коричневой, черной и серой пигментации снаружи и внутри молочных зубов зачастую связано с аномалиями внутриутробного развития. Закладка костной системы плода проходит в первые 3 месяца беременности, поэтому молодой маме важно полноценно питаться. На патологическое формирование костной и зубной ткани влияют такие факторы:
- прием будущей мамой антибиотиков и других серьезных медикаментов;
- перенесенные в первом триместре вирусные инфекции;
- курение, употребление наркотиков, алкоголя;
- недостаток кальция, фосфора, витаминов в рационе.
Проблемы стоматологического характера
Несмотря на то, что стоматологи настоятельно рекомендуют чистить зубки с первого дня прорезывания, многие родители до сих пор убеждены, что первые 2-3 зуба не нуждаются в уходе. Откладывая уход за полостью рта ребенка, они неосознанно провоцируют развитие серьезных стоматологических проблем после 1 года жизни. Как следствие пренебрежения правилами гигиены, к появлению серой и коричневой пигментации на молочных и коренных зубах могут привести:
- Гипоплазия эмали. Патология характеризуется темным цветом и маленьким размером зубов (внешние симптомы можно увидеть на фото). Эмаль недостаточно развита, не обладает необходимой крепостью и плотностью.
- Налет Пристли. Это полосы на резцах и клыках, которые очень трудно очистить. Основная причина — быстрое размножение бактерий, вырабатывающих темный пигмент. Потемнение может вызвать применение пасты, содержащей фтор (это провокатор флюороза).
- Неправильный уход за зубами — подбор зубной пасты, щетки, возможно малыш нерегулярно чистит зубки и не придерживается правил чистки.
- Длительное грудное вскармливание и кормление из бутылочки. Мамино молоко и смеси содержат сахар, который негативно влияет на состояние эмали. Особенно, если ребенок спит.
- Травмы зубов и кариес. На начальной стадии кариес выглядит в виде небольших белых пятен, которые со временем темнеют и становятся глубже. При падениях и случайных ударах у ребенка могут быть травмированы передние зубы. Впоследствии нарушается кровоснабжение костной ткани, и зубы темнеют.
Черный налет и точки на зубах у детей — это распространенная проблема, вызывающая беспокойство у родителей. Основными причинами появления таких образований могут быть недостаточная гигиена полости рта, неправильное питание и употребление определенных продуктов, таких как черника или свекла. Также стоит учитывать влияние некоторых медикаментов, которые могут окрашивать зубы.
Лечение включает в себя профессиональную чистку у стоматолога и регулярные гигиенические процедуры дома. Важно научить детей правильно чистить зубы, использовать зубную нить и ополаскиватели. Профилактика заключается в сбалансированном питании, ограничении сладостей и регулярных визитах к стоматологу. Заботясь о здоровье зубов с раннего возраста, родители могут предотвратить возникновение подобных проблем в будущем.
Общие проблемы
На состояние зубов влияют внутренние патологии детского организма. При обнаружении темного налета грамотный врач обязательно обратит внимание на следующие факторы:
- Дисбактериоз. При нарушении работы желудочно-кишечного тракта часто наблюдается черный налет на зубах у ребенка. В этом случае четный цвет могут иметь зубы даже годовалого ребенка.
- Избыток железа в организме. Обычно это происходит при приеме специфических лекарств.
- Ослабленный в результате перенесенных заболеваний и истощения иммунитет. Бактерии, которые попадают в ротовую полость, в этом случае легко поражают эмаль.
- Вирусные и бактериальные заболевания. Ослабление иммунитета и прием сильнодействующих медикаментов негативно отражаются на состоянии зубной эмали.
Отдельно выделяют генетический фактор, когда слабость эмали и ее потемнение передается из поколения в поколение. При влиянии наследственной составляющей важно с особым вниманием подходить к уходу за полостью рта малыша. Следует проконсультироваться с врачом по вопросу прохождения курса реминерализации, герметизации фиссур. Также необходимо проходить контрольные осмотры у стоматолога чаще (раз в квартал).
Диагностические методы
Если у малыша на зубах появился темный налет, следует попробовать удалить его самостоятельно. Для этого на марлю нужно нанести немного пищевой соды и аккуратно потереть зубки. Если налет уходит, достаточно будет посетить стоматолога и провести профессиональную чистку.
Если же налет остается, причина его образования скрывается в другом. На приеме стоматолог выясняет, почему он возник. Возможно, потребуется дополнительная консультация гастроэнтеролога, эндокринолога, сдача анализов мочи и крови.
Способы лечения
Опытный врач может определить заболевание по оттенку пятен на зубах. Каждая из патологий имеет свои симптомы и способы лечения.
| Заболевание | Оттенок эмали | Лечение |
| Флюороз | Желтовато-коричневые отметины, могут возникнуть уже на первых зубах. | Реминерализация, отбеливание, пломбирование |
| Гипоплазия эмали | Шершавые впалые желтые пятна. | Пломбирование (если пятна беспокоят ребенка). В остальных ситуациях – реминерализация. |
| Кариес | Коричневые и черные пятна, располагаются между зубками, у корней, на молярах. Постепенно их размеры увеличиваются, пятна углубляются, появляются кариозные полости. | Пломбирование |
| Налет Пристли | Потемнение в виде черных точек, которые сливаются в пятна. Захватывают внутреннюю и наружную часть коронки, постепенно покрывают всю ее поверхность. | Профессиональная чистка |
https://youtube.com/watch?v=nkFChMki1T0%3Fwmode%3Dtransparent%26autohide%3D1%26controls%3D1%26disablekb%3D0%26showinfo%3D1%26fs%3D1%26iv_load_policy%3D3%26modestbranding%3D1%26rel%3D0%26autoplay%3D0
Не всем малышам нравится сидеть в стоматологическом кресле, испытывая на себе действие бормашины. В этом случае остановить разрушение зубов может процедура серебрения, которая приведет к потемнению эмали. Черные зубы у детей не изменят цвет до замены на постоянные.
Устранить темный оттенок эмали, причиной которого стало длительное употребление медицинских препаратов, практически невозможно. Однако соблюдение режима питания и гигиены поможет восстановить организм и остановить дальнейшее прогрессирование.
Профессиональный подход
Налет на зубах у ребенка не следует пытаться удалить самостоятельно. Эмаль тонкая и чувствительная, при ее повреждении восстановить здоровье зубов будет сложно. Следует обратиться в стоматологическую клинику, специалисты которой проведут профессиональную чистку с помощью современных методик отбеливания:
- Ультразвуковая. Наиболее эффективная и безопасная для ребенка, позволяет устранить потемнения на эмали, бактериальный налет, зубной камень. Эмаль очищается путем высокочастотного воздействия на зубные коронки. Желтый налет таким способом разрешено убирать с 7 лет.
- Пескоструйная. Струя воды с мелкодисперсными абразивными элементами поочередно подается к каждому зубу. Чистящий состав бережно удаляет налет и камень, возвращает блеск эмали.
- Механическая. Каждый зуб обрабатывается вручную с помощью стоматологических инструментов. После окончания процедуры используется зубная паста, которая защищает и укрепляет эмаль.
Как очистить зубную эмаль с помощью народной медицины?
В народной медицине существует много рецептов, с помощью которых можно очистить эмаль и вернуть ей естественный цвет и блеск. Детям такие средства разрешено применять после консультации стоматолога.
Убрать пигментацию и темные полоски на зубах у детей помогут:
- Пищевая сода. Аккуратно насыпать немного порошка на щетку, намочить и прополировать зубки. Использовать не чаще, чем раз в неделю.
- Лимонная цедра. Следует протирать зубки корочкой лимона (белой стороной). После нужно тщательно прополоскать ротовую полость.
- Отвар коры дуба. Подходит для отбеливания и укрепления эмали. Залить 3 столовых ложки сырья стаканом горячей воды и томить на водяной бане 30 минут. Процедить полученную жидкость и разбавить кипяченой водой до объема 200 мл. Полоскать рот после еды.
- Зубной порошок. Высушить в духовке 50 грамм морской соли и шалфея. Измельчить, использовать 7 раз в неделю.
Каждая мама думает о том, как укрепить эмаль малыша. Сохранить зубки от разрушения и потемнения помогают народные методы, перед использованием которых обязательно необходима консультация лечащего стоматолога. Эффективны следующие способы:
- Легкий массаж десен — улучшает кровоснабжение, к зубкам поступает больше питательных веществ.
- Добавление в зубную пасту масла чайного дерева (при условии, что ребенок старше 5 лет, и у него нет аллергии на это средство).
- Полоскание ротовой полости после еды некрепким зеленым чаем. В листьях содержится антиоксидант катехин, который предотвращает истончение эмали и активен против бактерий.
Какие продукты питания лучше употреблять?
Правильное питание способствует укреплению зубной эмали, предотвращению ее патологических изменений. Улучшить состояние зубов помогают витамины А, D, C и микроэлементы кальций, фосфор, магний, цинк. Они должны поступать в детский организм в достаточном количестве. Правильно составленный рацион питания позволит равномерно распределить продукты и блюда с полезными свойствами.
Для сохранения здоровья зубов стоматологи рекомендуют употреблять:
- лук, чеснок;
- кунжут, добавленный в зеленые салаты;
- кисломолочные продукты;
- петрушка, сельдерей;
- хрен;
- яблоки и груши;
- цитрусовые, клубника, смородина, киви;
- морская рыба.
При черном налете доктор Комаровский рекомендует ограничить употребление крепкого чая, неразбавленных натуральных соков, карамели, газированных напитков, ряда соусов и специй, так как они окрашивают зубную эмаль, провоцируя образование бактериального налета.
К каким осложнениям может привести образование зубного налета?
Темный и желтый зубной налет — не только эстетический недостаток. Со временем он приводит к образованию твердого налета, гингивита (воспаления десен), пародонтита. Под влиянием вырабатываемых бактериями кислот истончается эмаль, появляются кариозные пятна.
При отсутствии лечения кариеса происходит образование глубокой полости, увеличивается риск воспаления зубных нервов (пульпита), периодонтита, потери здоровых зубов. По этой причине с раннего возраста деток важно учить, как правильно чистить зубки.
Профилактические меры
Профилактические меры начинаются с того момента, когда у ребенка прорезались первые зубы. Риск формирования отложений снижают такие мероприятия:
- Регулярный уход за полостью рта. Младенцам очищать зубки следует с помощью стерильного ватного диска, смоченного в отваре ромашки, шалфея. Можно применять специальную силиконовую насадку для детей, которую взрослые одевают на палец. С двух лет нужно активно приучать ребенка самостоятельно чистить зубки с помощью детской зубной пасты и качественной щетки. Делать это нужно минимум 2 раза в день, а лучше после каждого перекуса. В подростковом возрасте можно приучать к ирригаторам.
- Контроль рациона питания. Нужно исключить сладости, которые прилипают к зубам – ирис, сладкую вату, козинаки, газировку. Лучшие сладости – свежие фрукты. В зимний период полезны цукаты, сухофрукты. Заготовить их можно в сезон урожая с помощью электросушки.
- Контроль состояния слизистой оболочки рта. Важно поддерживать оптимальный микроклимат в комнате ребенка (влажность — 50-70%, температура – 18-22 градуса). Ребенок должен дышать носом, а не ртом.
- Избежать авитаминоза и ослабления иммунитета в зимнее время позволит прием специально подобранных витаминно-минеральных комплексов.
- Своевременный отказ от пустышек и бутылочек.
- Регулярное посещение стоматолога не только ребенком, но и всеми членами семьи.
Постоянная профилактика — полезная привычка, которая снизит риск возникновения стоматологических проблем во взрослом возрасте. Зубы – показатель здоровья, и от того, какую позицию выберут родители (внимательный уход или равнодушие) зависит будущее ребенка.
https://youtube.com/watch?v=5FsguQQJlIg%3Fwmode%3Dtransparent%26autohide%3D1%26controls%3D1%26disablekb%3D0%26showinfo%3D1%26fs%3D1%26iv_load_policy%3D3%26modestbranding%3D1%26rel%3D0%26autoplay%3D0
Вопрос-ответ
Как избавиться от черного налета на зубах у детей?
Избавиться самостоятельно от черного налета на детских зубах невозможно. Применение агрессивных средств или методов может привести к серьезному повреждению эмали. Для восстановления цвета зубов необходимо определение точной причины патологии.
Как лечить черные точки на зубах?
Как убрать черные точки Врач рекомендует регулярный осмотр, профессиональную чистку и глубокое фторирование. Однако если темное пятно при зондировании мягкое, то стоматолог проводит лечение кариеса. Для этого врач под анестезией убирает измененные ткани и восстанавливает дефект композитом под цвет эмали.
Как предотвратить черный налет на зубах?
Отказаться от курения, использовать зубные пасты, богатые фтором, для лучшей гигиены ротовой полости пользоваться электрической зубной щеткой и ирригатором, при появлении мягкого налёта, который не получается убрать щёткой, сразу обращаться к стоматологу.
Почему у детей черный налет?
Причины появления черного налета Пристли на зубах детей Появление налета Пристли на детских зубах говорит о каком-либо сбое в работе организма. В результате обычно неактивные бактерии, постоянно находящиеся в ротовой полости, начинают размножаться, оставляя после себя заметные визуально следы в виде темных отложений.
Советы
СОВЕТ №1
Регулярно проводите осмотр полости рта у вашего ребенка. Посещайте стоматолога не реже двух раз в год для профилактических осмотров, чтобы выявить проблемы на ранней стадии и предотвратить образование черного налета и точек на зубах.
СОВЕТ №2
Обратите внимание на гигиену полости рта. Убедитесь, что ваш ребенок чистит зубы дважды в день с использованием фторсодержащей зубной пасты и правильно использует зубную нить. Это поможет удалить налет и предотвратить кариес.
СОВЕТ №3
Следите за рационом питания вашего ребенка. Ограничьте потребление сладостей и кислых продуктов, которые могут способствовать образованию налета. Включите в рацион больше фруктов, овощей и продуктов, богатых кальцием, для укрепления зубной эмали.
СОВЕТ №4
Обучите ребенка правильным привычкам ухода за зубами с раннего возраста. Сделайте процесс чистки зубов увлекательным и интересным, чтобы он стал частью повседневной рутины, что поможет избежать проблем с зубами в будущем.









