Детям для общей оценки состояния здоровья нередко назначается анализ крови. Эта доступная и безболезненная процедура позволяет не только определить количество сахара и гормонов в крови, но и выявить какие-либо патологические процессы, протекающие в организме ребенка и исключить развитие тяжелых заболеваний. Что значит, если результат общего анализа крови показал наличие плазматических клеток? Какую роль они играют в детском организме, и чем чревато увеличение количества плазмоцитов?
Роль плазматических клеток в детском организме
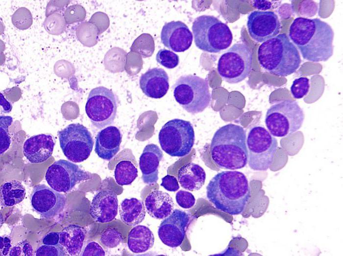
Плазматические клетки (плазмоциты) – это основная структурно-функциональная элементарная единица строения и жизнедеятельности человеческого организма, которая является последней стадией формирования В-лимфоцита и отвечает за образование специфических иммуноглобулинов. При поступлении сигнала о вторжении в организм чужеродного или потенциально опасного агента, часть В-клеток (остальные превращаются в В-лимфоциты памяти) трансформируется в плазмоциты, которые начинают продуцировать антитела.
По такой схеме формируется иммунный ответ гуморального типа, позволяющий организму противостоять вторжению вредоносных микроорганизмов. В течение 1 секунды плазматическая клетка в состоянии производить 2-3 тысячи антител, подходящих только одному типу антигена. Эти клетки преимущественно располагаются в:
- красном костном мозге;
- селезенке;
- лимфатических узлах.
Срок существования большинства плазматических клеток составляет всего несколько дней. Те, которые обитают в костном мозге, обладают гораздо большей стойкостью и способны функционировать на протяжении 20-30 лет. Они не погибают после отражения атаки болезнетворных микроорганизмов иммунной системой, клетки лишь занимают выжидательную позицию.
При повторном попадании в организм антигенов определенного типа происходит активация плазмоцитов, которые до этого находились в стадии ожидания, в результате чего болезнь быстро отступает, поскольку нет необходимости в распознавании чужеродного вещества. Таким образом формируется иммунитет к ряду инфекционных заболеваний.
Наличие плазматических клеток в крови у ребенка может свидетельствовать о различных состояниях, требующих внимательного анализа. Врачи отмечают, что плазмоциты, являющиеся зрелыми формами В-лимфоцитов, играют ключевую роль в иммунном ответе, вырабатывая антитела. Увеличение их числа может указывать на активный инфекционный процесс или аутоиммунные заболевания. Для оценки уровня плазмоцитов обычно проводят общий анализ крови, который позволяет определить количество этих клеток в соотношении с другими элементами. В некоторых случаях может потребоваться более углубленное исследование, такое как иммунофенотипирование или анализ костного мозга, чтобы исключить серьезные патологии, например, миелому или лимфому. Важно, чтобы результаты анализов интерпретировались квалифицированным специалистом, который сможет назначить соответствующее лечение или дополнительные обследования.

Лабораторные исследования для определения уровня плазмоцитов в крови у ребенка
Для определения этого показателя используется одна из наиболее доступных диагностических методик – общий (клинический) анализ крови. С помощью скарификатора служащий медицинского учреждения делает прокол на коже пальца руки (как правило, безымянного), затем производит забор биоматериала в тонкую стеклянную колбу.
Под микроскопом лаборант осуществляет подсчет количества всех содержащихся в собранной крови клеток, включая плазматические. Расшифровку результата анализа делает врач. Только обученный специалист может соотнести полученный результат с показателями нормы. При превышении нормы плазмоцитов принимаются меры для выяснения того, почему это произошло. Только после установления точной причины ребенку назначается курс лечения.
Сдачу крови на анализ рекомендуется проводить утром на голодный желудок. При нарушении этого условия итоговые показатели исследования могут быть искажены. Результаты процедуры, как правило, готовы на следующий день.
Норма показателя в крови у ребенка
В отличие от взрослого человека, наличие небольшого количества плазмоцитов в крови малыша допустимо. Признаком нормы является обнаружение не более 2 таких клеток на 1000 других единиц. Для младенца грудного возраста нормальным считается, если в его крови находится до 2% плазматических клеток.
При расшифровке результатов анализа крови во внимание берется только повышение уровня плазмоцитов – это может указывать на развитие какого-либо патологического процесса в детском организме.
Наличие плазматических клеток в крови у ребенка может вызывать различные реакции у родителей и врачей. Плазматические клетки — это зрелые В-лимфоциты, которые отвечают за выработку антител. Их присутствие в крови может свидетельствовать о реакции организма на инфекцию или воспаление. Однако повышенное количество плазматических клеток может также указывать на более серьезные заболевания, такие как множественная миелома или другие нарушения иммунной системы.
Для определения уровня плазмоцитов обычно проводят общий анализ крови, который позволяет оценить количество клеток и выявить отклонения от нормы. В некоторых случаях может потребоваться более детальное исследование, например, иммунофенотипирование или анализ костного мозга. Важно помнить, что интерпретация результатов должна осуществляться квалифицированным специалистом, который учтет все клинические данные и симптомы ребенка.

О чем свидетельствует увеличение плазмоцитов?
Увеличение данного вида клеток у детей может быть следствием наличия:
- заболеваний вирусной этиологии (ветрянки, краснухи, кори, доброкачественного лимфобластоза);
- туберкулеза;
- сепсиса;
- аутоиммунных патологий;
- сывороточной и миеломной болезни;
- радиоактивного облучения;
- злокачественных новообразований.
Обнаружение повышенного количества этих клеток в крови ребенка не должно служить основанием для паники. Они образуются даже в процессе обычного простудного заболевания и исчезают только через 2-3 дня после полного выздоровления. В данной ситуации рекомендуется показать малыша врачу. Специалист для выяснения причины повышения уровня плазмоцитов назначит маленькому пациенту ряд дополнительных исследований.
https://youtube.com/watch?v=HFVp7euw7Oo%3Fwmode%3Dtransparent%26autohide%3D1%26controls%3D1%26disablekb%3D0%26showinfo%3D1%26fs%3D1%26iv_load_policy%3D3%26modestbranding%3D1%26rel%3D0%26autoplay%3D0
Вопрос-ответ
О чем говорит наличие плазматических клеток в крови?
Плазматические клетки в периферической крови можно обнаружить при плазмоцитоме, вирусных инфекциях (корь, краснуха, ветряная оспа, инфекционный мононуклеоз, инфекционный гепатит), длительной персистенции антигена (сывороточная болезнь, сепсис, туберкулёз, актиномикоз, коллагенозы, аутоиммунные заболевания), состояниях
Какой анализ показывает миеломную болезнь?
Биохимический анализ крови: оценивает уровень кальция, креатинина и мочевины, что помогает выявить гиперкальциемию и почечную недостаточность. Электрофорез белков сыворотки крови: позволяет выявить моноклональный белок (парапротеин), характерный для миеломной болезни.
Сколько должно быть плазматических клеток?
У здоровых людей мало плазматических клеток в костном мозге — на их долю приходится менее 5 клеток из 100.
Можно ли вылечить плазмоцитому?
Лечение Солитарная плазмоцитома практически не поддается химиотерапии, поэтому ее облучают или удаляют хирургически. Это хорошо действует примерно в 50% случаев. Если операция не помогла остановить болезнь, то у больного в течение двух-трех лет обычно развивается множественная миелома.
Советы
СОВЕТ №1
Обратите внимание на симптомы. Если у вашего ребенка наблюдаются признаки инфекций, такие как высокая температура, усталость или боли, это может быть связано с увеличением плазматических клеток. Важно своевременно обратиться к врачу для диагностики.
СОВЕТ №2
Регулярно проходите медицинские обследования. Анализы крови, включая общий анализ и исследование на уровень плазмоцитов, могут помочь выявить возможные проблемы на ранней стадии. Не забывайте о плановых визитах к педиатру.
СОВЕТ №3
Обсудите результаты анализов с врачом. Если уровень плазмоцитов у вашего ребенка повышен, важно получить разъяснения от специалиста о возможных причинах и необходимых дальнейших действиях. Не стесняйтесь задавать вопросы.
СОВЕТ №4
Следите за общим состоянием здоровья ребенка. Правильное питание, достаточный сон и физическая активность могут укрепить иммунную систему и помочь организму справляться с инфекциями, что может снизить уровень плазматических клеток.




