Многие люди жалуются на частые кожные высыпания, возникающие впоследствии внешних факторов, состояния здоровья. Практически все люди устраняют выпуклости самостоятельно – выдавливая. После проведённой процедуры остаётся рана, перерастающая в шрам или рубец. Избавится от них очень сложно. Стоит немало потрудиться, чтобы убрать неприятные последствия.
Рубцы от прыщей
Часто люди сталкиваются с кожными высыпаниями. Возникающая выпуклость пытаются удалить самостоятельно – выдавив. Делать категорически нельзя. Пропадая, воспаления оставляют шрамы, белые пятна, рубцы. Во время прогрессивной медицины явление не имеет ужасающего приговора. Существует не одно средство от рубцов от прыщей.
Не смотря на призывы врачей не выдавливать выпуклости самостоятельно, многие не слушают. Можно получить заражение крови, большее распространение кожного воспаления, превращение в гнойные нарастания. Лечение станет длительнее, сложнее, болезненнее. Стоит подумать прежде, чем лезть руками к месту образования. Лучше прибегнуть к медикаментозному способу устранения, использовать народные рецепты прижигания образований. Эффект будет лучше, без неприятных последствий. Лишите себя бесполезных проблем.
Врачи отмечают, что выбор средства от рубцов после акне зависит от индивидуальных особенностей кожи и степени повреждений. Среди наиболее эффективных препаратов выделяются средства на основе силикона, которые создают защитную пленку и способствуют заживлению. Также популярны кремы с ретиноидами, которые стимулируют обновление клеток и улучшают текстуру кожи. Доктора рекомендуют обратить внимание на продукты с витамином E и экстрактами растений, обладающими противовоспалительными свойствами. В некоторых случаях для достижения наилучшего результата может потребоваться сочетание местных средств с процедурами, такими как лазерная терапия или химические пилинги. Важно помнить, что перед началом лечения необходимо проконсультироваться с дерматологом, чтобы выбрать наиболее подходящий вариант.

Виды рубцов
Для большего познания решения проблемы стоит немного узнать о видах шрамов, возникающих после высыпания:
- Атрофический.
- Гипертрофический.
- Келоидный.
Атрофический вид – самый легкий из выше перечисленных. Происходит от слова «атрофироваться» — терять способности, отмирать. Возникает после устранения высыпаний. Характеризуется небольшими ямками. Возникает на щеках. Мягкая кожа не позволяет быстро заживлять раны, оставляет следы. Легкая форма имеет определённый период лечения. Застарелые, огрубевшие следы лечиться в течение пяти месяцев.
Главное – соблюдать правила лечения, принимать препарат в нужных количествах. Страшного ничего нет. Может возникать у любого человека. Не каждый возьмётся за устранение проблемы. Нужно терпение, упорство.
Гипертрофический вид – более опасный. Рубцы находятся выше уровня кожи, имеют тёмный цвет. Значительно выделяются на светлом оттенке. Вывести практически не возможно. Лечение нужно начинать сразу после замеченного изъяна. Дальнейшие действия будут бесполезны. Возникают после тяжёлой формы высыпания. Обострённая форма характеризуется большим количеством воспалительных процессов, наполненных гноем. Образования сильно болят, принося массу дискомфорта.
Гарантии нормального состояния кожи после медикаментозного лечение нету. Нужно прибегнуть к устранению последствий. Часто люди не обращают внимания, думая о невозможности лечения. Если есть малейший шанс устранить недуг, следует попробовать. Хуже не станет. Эффект может приятно удивить. Гипертрофическую форму следует устранять дольше, в течение года.
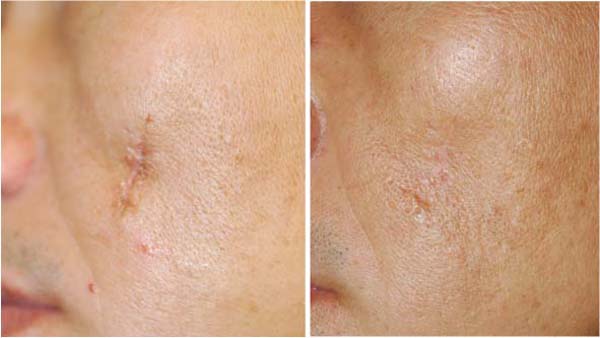
Фото до и после рубца
Келоидная форма — самая опасная. Рубцы имеют четкое очертание на коже. Сильно заметны. Могут чесаться, переходя в кожное воспаление. Зависит от образа жизни, ухода за лицом. Для предотвращения последующей симптоматики следует тщательно ухаживать за кожей лица. Нельзя пользоваться гелями, тональными кремами, средствами для умывания. Косметические препараты будут больше раздражать образования, приводя к сыпи, зуду.
Келоидная форма возникает в запущенных случаях. Проявляется после результатов устранения выпуклостей самостоятельно. Нанося механические увечия, человек подвергается последующим мучениям. Следует аккуратно лечить высыпания, прибегая к мазям, прописанных доктором, изготовленных в ручную. Ни к воем случае не трогать воспалительные процессы руками. После естественного уничтожения стоит продизенфецировать место спиртом, перекисью водорода. Для устранения микробов, остатков гноя, вышедших из раны.
Мази для устранения рубцов от прыщей
Лечение абсолютно любой формы проходит с помощью мазей:
- контратубекс;
- келифибразе;
- клирвин.
«Контратубекс» — средство от рубцов, помогающее избавиться от неприятных последствий высыпания. Имеет в составе гепарин, оказывающий противо-тромбозное действие. Снимает воспалительный процесс, устраняет бактерии из изъянов. Состоит их жидкого репчатого лука, гепарина. Проникает глубоко в дерму, давая хороший результат устранения проблемы. Применять нужно три раза в день, нанося тонким слоем на место поражения. Стоит внимательно читать инструкцию по применению. Неправильна дозировка вызывает побочные эффекты – аллергическую реакцию. Распространённый эффект после лекарственных средств наружного применения.
Нельзя принимать людям, имеющим аллергию на компоненты вещества. Не рекомендуется использовать детям до двенадцати лет. Эпидермис чувствительный, нежный. Может пойти раздражение, повторное высыпание. Для быстрого результата средство от шрамов от прыщей нужно наносить на разогретую дерму. От горячей воды поры откроются, результат будет более эффективен. Мазь сможет глубоко проникнуть в эпидермис. Если не получается три раза в день распаривать лицо, нужно применять препарат на ночь. При лечении следует устранить факторы, негативным образом действующие на кожу. Категорически запрещается использовать косметику.
«Келифибразе» — мазь от рубцов после прыщей. Препарат немецкого производства, появившийся на отечественном рынке медицины относительно недавно. После возникновения начались бурные обсуждения, громкие отзывы, комментарии. Лекарственный препарат от рубцов после прыщей состоит из мочевины, увлажняющей кожу.
Компонент восстанавливает участки дермы, насыщая витаминами, полезными вещества. Гепарин, входящий в состав мази от рубцов после прыщей, устраняет возможность возникновения тромбов в месте поражения. Нанося легкими, массажными движениями предотвращаете кровяную закупорку на месте дислокации.
Состав препарата от рубцов после прыщей дополняет камфара, оказывающая обезболивающее действие. При сложных формах изъяны могут болеть, проносить неприятные ощущения. Камфара помогает избавиться от дискомфорта. Препарат от рубцов после прыщей нужно применять четыре раза в день, нанося тонким слоем на пораженные участки дермы.
Цена лекарства доступна не каждому. Качество оправдывает вложенные средства. Множество положительных отзывов определили хорошее действие, качество лекарства. Людей не обманешь. Испробовав на собственной коже действие лекарственного средства можно давать оценку.
«Клирвин» — гель от рубцов от прыщей на лице, состоящий из трав. Помогает устранить не только изъяны после высыпания, но имеет множество функций благоприятно действующих на кожные покровы. Удаляет растяжки после беременности, лечит ссадины, порезы, мелкие травмы. Можно применять не только на лице, но на остальных частях тела. Нужно наносить два раза в день. Второй раз обязательно перед сном.
Используя гель от рубцов от прыщей на лице, наносите массажными движениями. Массируйте до полного впитывания препарата. Времени займёт немного, примерно минут пятнадцать. Нельзя использовать в больших количествах, возможен ризк появления аллергической реакции. Использовать следует до полного исчезновения образований. Универсальное средство, устраняющее любые проблемы эпидермиса. От растяжек до рубцов.
Травяная основа пропитывает дерму полезными веществами, компонентами. Делает блестящей, увлажняет, придаёт розоватый оттенок, разглаживает. Можно использовать вместе с витаминами. Придаст больший результат, подержит иммунитет.
Многие люди, столкнувшиеся с проблемой рубцов от прыщей, активно делятся своим опытом и рекомендациями. Одним из самых популярных средств считается крем с содержанием силикона, который помогает выровнять текстуру кожи и уменьшить видимость рубцов. Также часто упоминаются гели на основе алоэ вера и масла шиповника, обладающие регенерирующими свойствами. Пользователи отмечают, что регулярное использование этих средств в сочетании с массажем кожи способствует лучшему результату.
Некоторые предпочитают более радикальные методы, такие как лазерная терапия или микродермабразия, которые показывают высокую эффективность, но требуют профессионального подхода. Важно помнить, что каждый организм индивидуален, и то, что помогает одному, может не подойти другому. Поэтому перед выбором средства стоит проконсультироваться с дерматологом, чтобы подобрать наиболее подходящий вариант.

Приготовление в домашних условиях
Медикаментозные препараты хороши в использовании, действии. Каждый человек выбирает лучшее средство от проблемы. Часто прибегают в изготовлению мазей в домашних условиях. Существует несколько действенных, проверенных рецептом от рубцов на лице после прыщей.
От рубцов на лице после прыщей поможет голубая глина. Маска рекомендуется при сезонном снижении иммунитета, сухости дермы, при высыпаниях, наличии шрамов. Имеет полезные питательные свойства, помогающие эпидермису впитаться витаминами, полезными веществами. Для приготовления потребуется голубая глина, оливковое масло, мёд, куриный желток. Ингредиенты нужно смешать до однородной консистенции.
Последнюю нужно добавлять голубую глину. Маску следует наносить на двадцать минут. Желательно время впитывания сидеть неподвижно, не совершать никаких телодвижений. Маска постепенно засыхает, любое движение может повредить. Можно вместо оливкового использовать розовое масло. Принцип действия аналогичен. Заменять ингредиенты можно любыми, приносящими пользу, увлажняющими веществами. В качестве питательного вещества выступает сметана средней жирности. Имеет массу полезных веществ, делает эпидермис мягким, избавляет от сухости.
Используйте сандаловое масло. Средство хорошо выводит лишнее из дермы, заживляет возникшие раны. Нужно добавить две столовые ложки пудры сандалового дерева. Можно купить в аптеке. К первому составляющему добавить столовую ложку мёда. Компоненты нужно перемешать до однородного состояния. Наносить следует исключительно на повреждённые области. Маску держать пятнадцать минут, затем смыть прохладной водой. Смывая тепло, холодной водой не достигнете желаемого результата. Можно допустить устранение с помощью воды комнатной температуры. Сандаловое масло имеет множество полезных свойств. Полезные вещества, входящие в состав пропитывают кожу, стягивают поврежденные участки, избавляя от шрамов, изъянов, оставленных после самостоятельного удаления высыпаний. Можно использовать против ожогов. Полезные вещества дают возможность ранам стягиваться быстрее.
Средства от рубцов от прыщей могут состоять из продуктов, имеющихся в любом холодильнике: яйцо, огурец. Последний следует натереть на тёрке, добавив белок. Перемешав составляющие, нанесите на лицо на двадцать минут. Маска засыхает. Средства от рубцов от прыщей при удалении забирает с собой вредные вещества, находящиеся в дерме. Стягивает раны. Смывать нужно тёплой водой.
Использование яблочного уксуса полезно не только для эпидермиса, но для желудочно – кишечного тракта. Столовая ложка на стакан горячей воды в день улучшат метаболизм. Для дермы состоит в множестве полезных свойств. Применять следует ежедневно.
Нужно одну столовую ложу смешать с тремя столовыми ложками воды. Следует заморозить в формах для льда. Ежедневно можно протирать замороженными кубиками лицо. Срочное применение маски позволяет смочить салфетку в растворе, наложить на лицо. Маску нужно держать пятнадцать минут, смыть тёплой водой.

Заключение
Устранение неприятного последствия требует тщательной работы. Ежедневное применение масок поможет в течение шести месяцев избавиться от остатков высыпаний. Существуют различные от рубцов от прыщей, помогающие устранить шрамы. Человек может выбрать медикаментозный способ, попробовать сделать косметическую маску в домашних условиях. Применение разных препаратов поможет устранить проблему. Главное – совершать процедуры регулярно, не пропуская сеанса.
Вопрос-ответ
Что лучше всего помогает от рубцов на лице?
Самым действенным и распространенным методом является лазерная шлифовка. Чаще всего ее проводят зимой и осенью. В зависимости от вида рубца врач подберет требуемое количество процедур и вид лазера. Уже после первой процедуры кожа станет более гладкой, а рубец не таким заметным.
Какая мазь убирает следы от прыщей?
Салициловая мазь с антимикробным, подсушивающим, противовоспалительным свойством. Гепариновая мазь. Мазь Акридерм. Ихтиоловая. Банеоцин. Синафлан. Дифферин. Спасатель.
Какая мазь рассасывает рубцы?
Антиадгезин (2)Био-оил (1)Имофераза (1)Келокоут (2)Контрактубекс (2)
Как убрать рубцы от прыщей у косметолога?
Для устранения следов акне могут использоваться различные пилинги: салициловый, ретиноловый, ТСА (трихлоруксусный), Джесснера или Биорепил. Курс: 4-6 сеансов, с промежутком 7-14 дней. Во время курса возможно комбинирование различных пилинговых составов. Процедура пилинга не является болезненной, проходит комфортно.
Советы
СОВЕТ №1
Изучите состав средств. Обратите внимание на активные ингредиенты, такие как силикон, алоэ вера, витамин E и кислоты (например, салициловая или гликолевая). Эти компоненты помогают улучшить текстуру кожи и способствуют заживлению рубцов.
СОВЕТ №2
Проконсультируйтесь с дерматологом. Перед выбором средства от рубцов от прыщей стоит получить профессиональную консультацию. Дерматолог сможет оценить состояние вашей кожи и порекомендовать наиболее подходящие продукты или процедуры.
СОВЕТ №3
Не забывайте о регулярности применения. Для достижения видимого результата важно использовать средство регулярно, следуя инструкциям на упаковке. Обычно это означает применение 1-2 раза в день в течение нескольких недель или месяцев.
СОВЕТ №4
Сочетайте средства с другими методами лечения. Рассмотрите возможность использования дополнительных процедур, таких как химические пилинги, лазерная терапия или микродермабразия, которые могут усилить эффект от применения средств для уменьшения рубцов.







