Болезнь Пертеса у детей – патология, которая развивается в результате нарушения кровоснабжения в бедренной кости. Доктора также могут использовать диагноз «остеохондропатия головки бедра» или «субхондральный некроз ядра окостенения головки бедра», что является синонимами. К данному заболеванию необходимо относиться со всей серьезностью, так как при своевременном лечении можно избежать неприятных осложнений. Когда может возникнуть подозрение на болезнь Пертеса? В каких случаях следует обратиться за помощью к медикам? Какие существуют методики диагностики и лечения заболевания?
Болезнь Легга-Кальве-Пертеса: в чем заключается и чем опасна для детей?
Болезнь у детей чаще развивается в возрасте от 4 до 12 лет и является самой распространенной формой разрушения головки кости в детском возрасте. В среднем диагностируется 1 случай на 1 200 детей, обычно поражается сустав с одной стороны. При развитии данной патологии происходит нарушение кровоснабжения в костной ткани бедра, что ведет к недостаточному поступлению в костную ткань веществ, необходимых для ее нормального роста и развития. Это проявляется в виде дистрофии и нарушения структуры эпифиза (конец кости, где формируется суставная поверхность), а со временем приводит к его разрушению.
Без своевременной диагностики и лечения развивается гипотрофия (ткани не получают достаточного питания) ягодичных мышц, а в дальнейшем и всей нижней конечности. Происходит нарастание хромоты, которая носит постоянный характер, и усиление болей. В ряде случаев может наблюдаться укорочение конечности (здоровая нога длиннее).
Врачи отмечают, что болезнь Легга-Кальве-Пертеса является серьезным заболеванием, затрагивающим тазобедренный сустав у детей. Основные причины ее возникновения до конца не изучены, однако предполагается, что генетические факторы, нарушения кровообращения и травмы могут играть значительную роль. Симптомы болезни часто включают боль в бедре, ограничение подвижности и хромоту. Важно, чтобы родители обращали внимание на эти признаки и своевременно консультировались с врачом.
Лечение болезни может варьироваться в зависимости от стадии заболевания. В начальных случаях часто применяются консервативные методы, такие как физиотерапия и использование ортопедических средств. Однако в более запущенных ситуациях может потребоваться операция на тазобедренном суставе для восстановления нормального кровообращения и предотвращения деформации. Врачи подчеркивают важность ранней диагностики и индивидуального подхода к каждому пациенту для достижения наилучших результатов.
https://youtube.com/watch?v=IXK0o7-TU1c
Причины заболевания
На сегодняшний день специалисты не пришли к единому мнению относительно главной причины болезни. Как правило, заболевание развивается под воздействием сразу нескольких факторов. Одни дети имеют предрасположенность к болезни Пертеса в результате миелодисплазии.
Патология нередко приводит к ограничению, а порой к полному перекрытию кровоснабжения головки бедренной кости (ГБК), что становится причиной асептического некроза.
Иногда миелодисплазия протекает бессимптомно, однако при воздействии определенных факторов (инфекция, травма и пр.) возникают различные ортопедические патологии.
Особую роль в развитии болезни Пертеса играет наследственность. Часто аномальное строение тазобедренного сустава обуславливается генетической предрасположенностью. Также остеохондропатия головки бедра может развиться под воздействием следующих факторов:
- инфекционные заболевания (грипп, синусит, тонзиллит и пр.);
- недоношенность или маленький вес новорожденного;
- нарушение костного метаболизма и фосфорно-кальциевого обмена;
- гипотрофия, рахит;
- гормонально-обменные нарушения у подростков;
- повышенные нагрузки на суставы в период болезни (несоблюдение постельного режима);
- пассивное курение (малыш вынужден находится в одном помещении с курящими);
- травма.
Симптомы у детей
Поначалу заболевание дает о себе знать умеренными болями, возникающими во время ходьбы или бега. Ребенок испытывает неприятные ощущения в области тазобедренного или коленного сустава. Иногда боль пронизывает всю ногу. Родители начинают замечать, что малыш прихрамывает. Недуг заставляет ребенка припадать на больную ногу или подволакивать ее. Обычно на ранней стадии болезни родители не предпринимают никаких активных действий, им даже в голову не приходит обратиться к ортопеду, т. к. симптомы слабо выражены и в большинстве случаев объясняются травмой или повышенными нагрузками.
По мере разрушения головки сустава и возникновения импрессионного перелома симптомы усиливаются. Боль очень сильная, ребенок не может наступить на больную ногу, из-за чего хромота становится ярко выраженной. Больное место опухает.
Дети с такой патологией не могут вывернуть ногу кнаружи, у них сильно ограничены вращательные и сгибательно-разгибательные движения сустава. Присоединяются вегетативные расстройства дистальных отделов конечности (потливость стопы, бледность кожных покровов и пр.). Нередко недуг провоцирует подъем температуры тела до субфебрильных значений. В дальнейшем боли утихают, но хромота сохраняется, появляются симптомы, характерные для прогрессирующего артроза. Нередко у детей с такой патологией выявляют укорочение больной конечности.
https://youtube.com/watch?v=ENUPETJpzW0%3Fwmode%3Dtransparent%26autohide%3D1%26controls%3D1%26disablekb%3D0%26showinfo%3D1%26fs%3D1%26iv_load_policy%3D3%26modestbranding%3D1%26rel%3D0%26autoplay%3D0
Болезнь Легга-Кальве-Пертеса — это серьезное заболевание, которое затрагивает тазобедренный сустав у детей, вызывая его разрушение. Родители часто замечают, что ребенок начинает жаловаться на боль в бедре или колене, а также испытывает трудности при ходьбе. Симптомы могут включать хромоту, ограничение подвижности и даже отек. Важно своевременно обратиться к врачу, так как ранняя диагностика играет ключевую роль в лечении.
Лечение может варьироваться от консервативных методов, таких как физиотерапия и использование ортопедических устройств, до хирургического вмешательства в более сложных случаях. Операция может потребоваться для восстановления нормального положения головки бедренной кости и предотвращения дальнейших осложнений. Многие родители отмечают, что после операции и реабилитации дети возвращаются к активной жизни, что вселяет надежду и уверенность в успешное выздоровление.
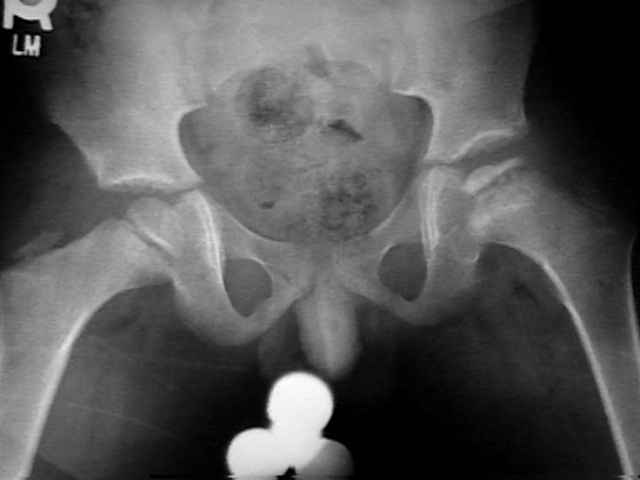
Диагностика болезни Пертеса
В основе диагностики болезни Легга-Пертеса лежит рентгенологическое исследование сустава, с его помощью специалисты определяют стадию и степень деформации. Согласно полученным результатам врач выбирает оптимальные способы лечения. Дополнительными диагностическими методами служат:
- ультразвуковое исследование;
- лучевая диагностика;
- магнитно-резонансная томография;
- артроскопия;
- анализа крови и мочи.
Рентгенологическое обследование
При подозрении на болезнь Пертеса делают не только снимки в стандартных проекциях, но и рентгенограмму в проекции Лауэнштейна. На основании полученных результатов исследования врач ставит диагноз, чаще всего используя классификации Сальтера-Томсона и Кэттерола.
Ортопед, изучая рентгенограмму, выявляет особенности строения костей и степень деформации суставной головки.
Снимки позволяют увидеть метафизарные изменения, линию субхондрального перелома и другие патологии.
Ультразвуковое исследование
К помощи УЗИ прибегают в том случае, если недуг вызван ревматизмом. Нередко на начальной стадии болезнь Пертеса трудно диагностировать с помощью рентгена, поэтому пользуются ультразвуковой денситометрией. Это неинвазивный, безболезненный и безопасный метод диагностики, позволяющий определить количественную минеральную плотность костной ткани. Благодаря УЗИ специалист определяет состояние костной ткани тазобедренного сустава, помогает оценить степень поражения костей.
Компьютерная томография
Полученные рентгеновские снимки позволяют изучить особенности строения костной ткани, но на начальной стадии болезни не позволяют оценить степень поражения мягких тканей и костных структур. Диагностировать болезнь Легга-Кальве -Пертеса у маленьких пациентов можно с помощью МРТ или компьютерной томографии тазобедренного сустава.
КТ определяет начальные изменения в головке бедренной кости. На экране компьютера врач видит послойные снимки проблемного участка, что позволяет выявить характерные для асептического некроза состояния, к примеру отек костного мозга.
Стадии развития заболевания
Стадия остеонекроза
Заболевание принято подразделять на пять последовательных стадий. Первая, именуемая стадией остеонекроза, характеризуется прекращением кровоснабжения определенного участка ГБК, что ведет к развитию очагового некроза. Обычно пораженный участок составляет менее 10% от общей массы суставной головки. Эта стадия не сопровождается какими-либо неприятными ощущениями, часто протекает бессимптомно. У ребенка могут возникнуть едва ощутимые боли в области бедра и незначительные нарушения походки.
Стадия импрессионного перелома
Вторая стадия импрессионного перелома ГБК определяется в том случае, если площадь структурных изменений костной ткани превышает 10%, но остается в пределах 30% от общей массы головки тазобедренного сустава. К развитию второй стадии приводит вдавленный перелом с последующей деформацией ГБК, который может развиваться без видимых причин под воздействием привычных нагрузок. С этого момента ребенок испытывает значительный дискомфорт во время ходьбы, что отражается на его походке.
Стадия фрагментации
Стадия фрагментации определяется при деформации свыше 30%. Боли сопровождают малыша при ходьбе, а также сохраняются в спокойном состоянии. Наблюдается припухлость в области бедра, движения ГБК ограничены. Из-за нарушения опорной функции конечности ребенок начинает сильно прихрамывать на одну ногу. Воспалительный процесс приводит к подъему температуры тела и возникновению симптомов интоксикации организма.
Стадия репарации
В стадии репарации процессы разрушения уступают процессам восстановления. В отдельные фрагменты поврежденных костей врастают сосуды, образуется новая костная ткань, которая по своей структуре близка к здоровым костям, но не обладает той же прочностью. Возобновляется рост ГБК, что при неправильном лечении приводит к дальнейшему усугублению проблемы. Головка приобретает неправильные формы, это становится причиной вывихов, подвывихов и вторичного коксартроза.
Заключительная стадия
На стадии исхода можно понять, приведет ли болезнь Пертеса к осложнениям или процесс выздоровления пройдет без последствий для ребенка. Если хрящевая зона в результате некроза была разрушена, то у ребенка могут возникнуть нарушения, связанные с ростом бедренной кости в длину. Из-за укорочения конечности у ребенка нарушается походка, такая патология нуждается в коррекции хирургическим путем. Если на 4 стадии произошла деформация ГБК, развивается прогрессирующий артроз.
Лечение болезни Пертеса
Если у ребенка до 6 лет симптомы заболевания слабо выражены и костно-мышечная ткань имеет незначительную деформацию, целесообразно придерживаться выжидательной тактики. В течение всей болезни ребенок должен находиться под контролем специалиста, который при необходимости назначит специальное лечение.
Если же течение болезни вызывает опасения, ребенка направляют на стационарное лечение в ортопедическом отделении. После того как основной курс лечения будет пройден, ребенок продолжает принимать лекарства на дому. Болезнь Пертеса нуждается в длительной консервативной терапии, которая порой длится от 2 до 4 лет.
Консервативное
- Обычно детям назначают хондропротекторы. Эта группа препаратов ускоряет восстановительные процессы в костных и хрящевых тканях.
- Ребенок должен принимать минерально-витаминные комплексы, предназначенные для укрепления и питания тазобедренных суставов.
- Ангиопротекторы улучшают кровоснабжение костных и суставных структур.
- При выраженном болевом синдроме назначают обезболивающие препараты. Воспаление и отек снимают нестероидные противовоспалительные средства.
Во время медикаментозной терапии конечность должна быть максимально разгружена. Чтобы обездвижить сустав, ребенку накладывают специальную шину или повязку Петри. Ортопедические конструкции надежно фиксируют ГБК в правильном положении, не позволяя ей смещаться и деформироваться.
Оперативное
Операция может потребоваться только в особо тяжелых случаях. Как правило, ее проводят детям старше 6 лет, когда структурные изменения в костной ткани приводят к деформированию ГБК и подвывиху бедра.
Во время операции хирург пользуется двумя основными методиками фиксации суставной головки в правильном положении:
- корригирующая остеотомия бедра медиализирующая;
- ротационная транспозиция вертлужной впадины по Солтеру.
В ходе хирургического вмешательства суставная головка фиксируется в вертлужной впадине металлическими пластинами или болтами. Если есть необходимость, впадина дополнительного углубляется. После установки пластин ребенок должен находиться в гипсовом корсете не менее 6–8 недель.
Прогноз и последствия
При своевременно начатом лечении болезни Пертеса прогноз благополучный. Заболевание поддается лечению, а его последствия не представляют опасности для жизни и здоровья маленького пациента. Если болезнь запустить и долго не лечить, то это может привести к инвалидности. Деформированные участки ГБК влияют на работоспособность всей конечности.
При тяжелых поражениях атрофируются ягодицы и мышцы конечности. Недостаточная мышечная масса приводит к косметическим дефектам. Ребенок с болезнью Пертеса испытывает скованность в суставе, его походка портится. Некроз тканей приводит к интоксикации, что способствует развитию осложнений.
https://youtube.com/watch?v=86r5QM5g4Wk%3Fwmode%3Dtransparent%26autohide%3D1%26controls%3D1%26disablekb%3D0%26showinfo%3D1%26fs%3D1%26iv_load_policy%3D3%26modestbranding%3D1%26rel%3D0%26autoplay%3D0
Вопрос-ответ
Какую операцию делают при болезни Пертеса?
Хирургическое лечение (операция) болезни Пертеса Направлены на улучшение кровоснабжения (тоннелизация шейки бедренной кости с пересадкой аутогетеротрансплантатов).
Можно ли вылечить Пертеса?
Прогноз для пациентов с болезнью Пертеса в целом благоприятный: при своевременном и качественном лечении кость может полностью восстановиться. Главное — избежать патологического изменения формы головки бедра на этапе заживления.
Сколько длятся стадии Пертеса?
Развитие патологии длится 3–8 лет, при этом у девочек процесс восстановления головки бедренной кости происходит примерно в 2 раза быстрее. Остеохондропатия головки бедра чаще всего встречается среди населения стран Кавказа и Северной Европы и практически не диагностируется на территории Африки и Азии.
Можно ли заниматься спортом при болезни Пертеса?
Лечение Болезни Пертеса На ранних стадиях заболевание лечится консервативно. Благодаря своевременному лечению дети, которые перенесли данное заболевание, могут вести активный образ жизни и даже заниматься спортом.
Советы
СОВЕТ №1
Регулярно проводите медицинские осмотры у педиатра, особенно если у вашего ребенка есть жалобы на боль в бедре или ограничение движений. Ранняя диагностика может значительно улучшить прогноз и снизить риск осложнений.
СОВЕТ №2
Обратите внимание на физическую активность вашего ребенка. Избегайте чрезмерных нагрузок на суставы, но одновременно обеспечьте умеренные физические упражнения для поддержания мышечного тонуса и гибкости.
СОВЕТ №3
Если вашему ребенку поставили диагноз болезни Легга-Кальве-Пертеса, обсудите с врачом все доступные методы лечения, включая консервативные и хирургические. Понимание всех вариантов поможет вам принять обоснованное решение.
СОВЕТ №4
Поддерживайте эмоциональное состояние вашего ребенка. Заболевание может вызывать стресс и беспокойство, поэтому важно обеспечить ему поддержку и понимание, а также вовлечь его в обсуждение лечения и реабилитации.








