Человеческий организм – это многоклеточная структура, зарождение и формирование которой происходит еще в утробе матери. Наряду с внутренними органами у эмбриона формируется кровеносная система, скелетная мускулатура, надпочечники и волокна нервной системы.
Именно на уровне эмбриогенеза образовываются нейробласты, которые при последующем развитии становятся нейронами – «кирпичиками» симпатической нервной системы. Когда этот порядок нарушен, т. е. нейробласты остаются на уровне зарождения, в волокнах нервной системы ребенка могут появляться новообразования под названием нейробластома.
Что это такое?
Нейробластома является злокачественным новообразованием, которое в большинстве случаев диагностируют у детей, не достигших 6 лет. Эта болезнь считается сугубо детской, поскольку у взрослых людей нервная система полностью сформирована. Патология поражает надпочечники ребенка, может зарождаться в забрюшинной части, реже – в середине грудной клетки, на шее, в районе таза.
У некоторых пациентов (около 17%) врачи не могут установить расположение первичного очага опухоли. В 70% всех случаев заболевания нейробластома у детей дает метастазы, поражая костный мозг, лимфу и узлы, а иногда – кожу и внутренние органы малыша.
Ученые выявили отличительную черту нейробластомы — перерождаться в доброкачественное новообразование (ганглионеврому), а иногда и самостоятельно регрессировать, не оставляя никаких симптомов. Чаще такое явление наблюдается у малышей до одного года.
К сожалению, нейробластома является коварным недугом и у многих пациентов быстро развивается и метастазирует, несмотря на своевременное противораковое лечение. Процесс развивается спонтанно, стремительно распространяясь по всему организму. Объяснить такие способности нейробластомы ученым до сих пор не удалось.
Иногда патология у плода может развиться еще в утробе матери. Выявить новообразование можно по результатам ультразвукового исследования. Также нейробластома встречается и у новорожденных. При этом болезнь зачастую сочетается с аномальными состояниями развития плода.
Нейробластома — это злокачественная опухоль, которая чаще всего поражает детей младшего возраста. Врачи отмечают, что точные причины возникновения этого заболевания до конца не изучены, однако генетические факторы и мутации в клетках могут играть значительную роль. Симптомы нейробластомы варьируются, но могут включать боль в животе, опухоли, изменения в поведении и потерю веса. Прогноз зависит от стадии заболевания на момент диагностики, возраста ребенка и других факторов. Специалисты подчеркивают, что ранняя диагностика и комплексное лечение, включая хирургическое вмешательство, химиотерапию и радиотерапию, значительно повышают шансы на выздоровление. Врачи рекомендуют родителям быть внимательными к любым изменениям в состоянии здоровья ребенка и своевременно обращаться за медицинской помощью.

Причины возникновения болезни
Основной причиной появления патологии считается мутация клеток на генном уровне. В данный момент ученые не в силах объяснить природу этих изменений в организме. Ясно одно, нейробластома развивается из незрелых нейронов, которые по каким-либо причинам не завершили процесс дифференцировки.
Считается, что в ряде случаев заболевание может передаваться по наследству, но генетические анализы не всегда показывают наличие дефектов хромосом. Только в 2% всех случаев патология передается по аутосомно-доминантному типу. Факторами, влияющими на возникновение нейробластомы, также считаются:
- недостаточная сформированность иммунной системы младенца;
- врожденные аномалии внутренних органов (заячья губа, полидактилия).
К моменту появления малыша на свет практически все нейробласты становятся полноценными нервными волокнами и образовывают клетки надпочечников. К трехмесячному возрасту оставшиеся недозрелые нейроны трансформируются в зрелую ткань. В том случае, когда нейробласты продолжают процесс деления, возникает раковое новообразование.
Злокачественность нейробластомы определяется ее способностью к быстрому делению и разрастанию. Мутация клеток эмбриона может возникать вследствие воздействия на организм будущей мамы облучения и канцерогенов. Этот факт окончательно не подтвержден.
Исследования подтвердили, что при нейробластоме характерным дефектом генетического фона является отсутствие плеча первой хромосомы. У 30% пациентов выявляется экспрессия в клеточных телах новообразования и амплификация N-myc онкогена, что считается неблагоприятным фактором по причине усиленного развития ракового процесса и стойкости патологии к химиотерапии.
При наблюдении за нейробластомой в микроскоп обнаружены мелкие клетки округлой формы с затемненными ядрами. Отличительной особенностью опухоли является кровоизлияние во внутренние ткани новообразования и места кальцификации.
https://youtube.com/watch?v=0MpxJ9oa4kc%3Fwmode%3Dtransparent%26autohide%3D1%26controls%3D1%26disablekb%3D0%26showinfo%3D1%26fs%3D1%26iv_load_policy%3D3%26modestbranding%3D1%26rel%3D0%26autoplay%3D0
Стадии и формы болезни
Нейробластома – это быстро развивающееся заболевание детей до 5 лет. Патологию классифицируют по стадиям:
- на первой стадии диагностируют одно небольшое (не более 5 см) новообразование, которое не поражает внутренние органы и лимфосистему ребенка;
- вторая стадия болезни не метастазирует, раковое образование может достигнуть размера не больше 10 см в объеме;
- третью стадию подразделяют на две подстадии: IIIА и IIIВ (с учетом размерных показателей образования), IIIА – нейробластома размером 10 см, ближайшие узлы поражены метастазами, IIIB – новообразование достигает размеров более 10 см, но метастазов нет;
- на четвертой стадии: подстадия IVА – размер новообразования может быть любым, метазстазы распространяются в отдаленные части тела и органы; стадия IVВ – наблюдаются множественные образования, которые стремительно растут; состояние систем организма оценить не удается;
- стадия IVS – диагностируется у грудничков до 3-5 месяцев, опухоль может достигать больших размеров и давать метастазы, но после этого спонтанно исчезать (регрессировать).
Местонахождение новообразования в теле младенца влияет на определение типа нейробластомы:
- Медуллобластома. Характеризуется быстрым ростом с образованием метастазов. Патология развивается во внутренних тканях мозжечка, что делает ее неоперабельной. Чаще всего такое течение болезни ведет к летальному исходу.
- Ретинобластома. Патология пагубно воздействует на сетчатку глаз, что может привести к появлению глаукомы и полной слепоте. Опухоль метастазирует в отделы головного мозга. Симптоматикой ретинобластомы у детей являются необычное свечение глаз, развитие косоглазия, повышенное внутриглазное давление.
- Нейрофибросаркома. Заболевание проявляется в пространстве симпатической нервной системы. Злокачественный процесс быстро достигает лимфоузлов и поражает метастазами костные ткани. Болезнь трудно диагностировать на ранних сроках, поскольку она локализуется в волокнах периферических нервов.
- Симпатобластома. Патология зарождается в симпатической нервной системе. Предпосылки к заболеванию появляются еще на этапе эмбрионального развития плода. Когда опухоль становится внушительной по размерам, она может поражать части спинного мозга, провоцируя проблемы с движением (паралич конечностей).

При диагностике нейробластомы важно определить стадию и форму заболевания для последующего определения тактики лечения. Этот показатель также позволяет врачу оценить прогноз патологии.
Родители должны понимать, что нейробластома надпочечника у детей не считается приговором.Чем раньше диагностируют новообразование, тем больше шансов остановить патологический процесс. К тому же заболевание отличается возможностью регрессировать само по себе или перерождаться в доброкачественное. Такое поведение опухоли может появиться на любой стадии рака.
Нейробластома — это злокачественная опухоль, чаще всего встречающаяся у детей младше пяти лет. Родители, столкнувшиеся с этой болезнью, часто говорят о том, как важно знать причины и симптомы. Основной причиной возникновения нейробластомы считается мутация клеток нервной системы, но точные причины до конца не изучены. Симптомы могут варьироваться: от боли в животе и потери веса до появления шишек под кожей. Прогноз зависит от стадии заболевания и возраста ребенка. Чем раньше диагностируется болезнь, тем выше шансы на успешное лечение. Методы терапии включают хирургическое вмешательство, химиотерапию и радиотерапию. Родители делятся опытом, подчеркивая важность поддержки и информации, чтобы справиться с этой тяжелой ситуацией.
Симптомы нейробластомы у детей
В зависимости от того, где локализуется новообразование, признаки развития патологии у детей могут быть самыми разнообразными. На первых стадиях заболевание вовсе может протекать без характерных симптомов или иметь признаки других заболеваний. Если у ребенка зарождается нейробластома в забрюшинной части, то симптомами ее проявления будут:
- спазмы в животе;
- тошнота;
- нарушение мочеиспускания;
- увеличение живота;
- появление запоров или жидкого стула;
- гипертермия.
Новообразования, которые возникают в волокнах симпатической системы спинномозгового отдела, вызывают симптомы в виде общего недомогания, болей в костях, повышенной температуры тела, паралича, нарушений функционирования мочевого пузыря и кишечника. Как правило, новообразование, зарождающееся в грудном отделе, на начальных стадиях протекают бессимптомно. С увеличением новообразования у больного появляется хронический кашель, затрудненное дыхание, деформация грудной клетки.
Нейробластома, расположенная на шее малыша, не только прощупывается, но и видна невооруженным глазом. Патологию можно увидеть на фото. У ребенка наблюдается синдром Горнера (по стороне локализации опухоли), характеризующийся такими признаками, как:
- покраснение и опущение века;
- отсутствие реакции зрачка на свет;
- нарушение потоотделения.
Наличие в организме метастазов также носит характерную симптоматику. Как правило, поражение лимфотока провоцирует увеличение лимфатических узлов. Если метастазы задели костную систему, то больного мучает боль в конечностях. Поражение печени влечет за собой значительное увеличение органа и развитие желтухи. Метастазы в костном мозге вызывают:
- анемию;
- кровоточивость;
- лейкопению;
- вялость;
- склонность к инфекционным болезням.
Как диагностируют болезнь?
При подозрении на нейробластому ребенка нужно обследовать в срочном порядке. Обязательными методами диагностики являются анализы мочи на наличие катехоламинов и крови на онкомаркеры (ферритин и енолазы).
Необходимыми исследованиями для точной диагностики новообразования являются:
- ультразвуковое исследование (выявляет место локализации опухоли);
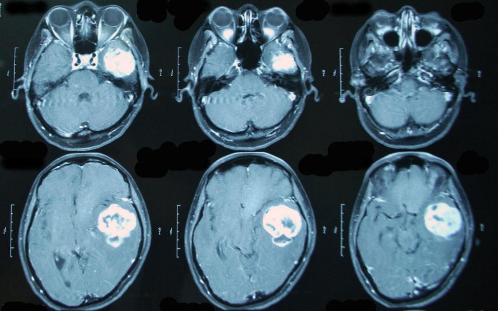
- МРТ спинного столба, головного мозга (помогает определить топографическую стадию патологии);
- рентгенография (выявляет раковое образование в загрудинном пространстве);
- компьютерная томография (дает возможность определить кальцификаты нейробластомы и характер новообразования).
Важным методом диагностики считается костно-мозговая биопсия. Взятый материал отправляют на цитологическое и гистологическое исследование. Анализ позволяет получить точные ответы и определить тип новообразования.
Лабораторные и аппаратные результаты обследования помогут детскому онкологу поставить верный диагноз и разработать схему лечения. В некоторых случаях для получения более точных ответов ребенку необходимо лечь в онкопедиатрический центр.
Методы лечения
Лечение нейробластомы у детей зависит от характера, типа и стадии новообразования, наличия метастазов в организме. Оперативное удаление неоплазии показано во всех случаях, кроме 4 стадии заболевания, когда опухоль разрастается до больших размеров и становится неоперабельной.
Химиотерапия зачастую назначается больному перед операцией для уменьшения размеров ракового новообразования, что облегчит процесс иссечения опухоли. Терапия цитостатиками бывает двух видов:
- регионарная химиотерапия (осуществляется введением препаратов в место локализации опухоли);
- общая (подразумевает уничтожение раковых клеток по всему организму).
При адекватном лечении нейробластомы 1-ой и 2-ой стадий рецидивы заболевания практически отсутствуют. Рецидивировать присуще новообразованиям 3-ей стадии и, в большей степени, 4-ой.
Дополнительной мерой лечения злокачественного образования может стать MIBG-терапия. Этот метод заключается в использовании радиоактивного йода в местах локализации опухоли.
В запущенных случаях нейробластомы (3-4 степень) ребенку показан курс лучевой терапии. Метод ионизирующего облучения противопоказан детям раннего возраста, но в зависимости от вида и тяжести патологии может применяться. Лучевая терапия позволяет купировать злокачественное распространение, а в некоторых случаях полностью побороть рак.
При лечении нейробластомы широко применяется метод трансплантации костного мозга. Его используют в случаях, когда:
- у пациента диагностировали новообразование, которое невозможно удалить операбельным путем;
- химиотерапия не дала должного эффекта.
Пересадка костного мозга показана после химио- и радиотерапии, поскольку эти процедуры разрушают структуру спинного ствола пациента. Клетки для трансплантации извлекают у подходящего донора или у самого больного перед началом противоракового лечения. Такой способ терапии дает положительный результат и увеличивает выживаемость.
Инновационным методом борьбы с раковыми опухолями у малышей является применение моноклональных тел. Такая терапия в сочетании с другими методами борьбы с нейробластомой дает положительный результат. Суть метода заключается в преобразовании одних клеточных тел в другие. Ведение таких клеток в место нахождения опухоли вызывает ее разрушение.
После удаления опухоли и применения лучевой или химиотерапии ребенку нельзя загорать около шести месяцев. Солнечная радиация способна вызывать мутации в клетках кожи. Это может вызвать осложнения или рецидив заболевания. Солнечные ванны можно принимать, когда болезнь полностью отступит и снизится негативное влияние препаратов на организм.
Осложнения болезни и прогноз
При отсутствии целесообразного лечения нейробластома способна вызывать различного рода осложнения. К ним относятся:
- паралич конечностей;
- эмболия сосудов;
- метастазы в отдаленные органы;
- паранеопластический синдром;
- нарушение работы мозга.
Коварный недуг способен быстро развиваться, но диагностировать его на ранних стадиях не всегда получается. Часто нейробластому обнаруживают случайно, при диагностике других заболеваний. При наличии запущенных форм рака болезнь ведет к летальному исходу.
У детей до года, а также при наличии у пациента степени 4S вероятность выздороветь больше, чем в остальных случаях — нейробластома способна полностью исчезнуть (включая метастазы) даже при отсутствии лечения. Эту уникальную способность заболевания ученые пока объяснить не могут.
Локализованная опухоль, а также 2 и 3 степени патологии поддаются более эффективному лечению, что дает благоприятный прогноз. У детей с 4 стадией заболевания в возрасте от двух лет и старше шансы справиться с недугом уменьшаются. Неутешительный прогноз у пациентов с наличием множественных метастазов в отдаленных органах, даже при очень интенсивной химиотерапии.
Больной раком ребенок имеет все шансы на выздоровление. Родителям нельзя опускать руки, нужно всегда надеяться на лучшее, помочь малышу поверить в будущее. Важно не только применение адекватных методов противоракового лечения, но и положительный настрой родственников.
https://youtube.com/watch?v=t25_6DpRVlY%3Fwmode%3Dtransparent%26autohide%3D1%26controls%3D1%26disablekb%3D0%26showinfo%3D1%26fs%3D1%26iv_load_policy%3D3%26modestbranding%3D1%26rel%3D0%26autoplay%3D0
Вопрос-ответ
Как понять, что у ребенка нейробластома?
Уплотнение или образование на шее, груди или животеЭкзофтальм или темные круги вокруг глазБоль в животеРаздражительностьСнижение аппетитаЗапорОщущение усталостиСлабость в ногах
Можно ли вылечиться от нейробластомы?
При обнаружении нейробластомы на I-II стадиях опухолевого процесса подавляющее большинство пациентов излечивается. К сожалению, намного чаще нейробластома диагностируется поздно.
Откуда берется нейробластома?
Нейробластома образуется из эмбриональных нейробластов – зародышевых нервных клеток, которые должны превращаться в зрелые нейроны. Нейробластома – одна из самых часто встречающихся опухолей у детей. Средний возраст пациентов на момент постановки диагноза составляет 19-22 месяца.
Выживают ли дети с нейробластомой?
Специалисты по раку оценивают прогноз по раку по пятилетнему уровню выживаемости. У детей младшего возраста с нейробластомой низкого или среднего риска хороший прогноз и уровень выживаемости 90–95% . Дети старшего возраста и дети с нейробластомой высокого риска живут без рака около 60% времени.
Советы
СОВЕТ №1
Обратите внимание на ранние симптомы. Нейробластома может проявляться различными признаками, такими как опухоли в области живота, боли, изменения в поведении или усталость. Если вы заметили у ребенка необычные симптомы, не откладывайте визит к врачу.
СОВЕТ №2
Изучите информацию о заболевании. Понимание нейробластомы, ее причин и методов лечения поможет вам лучше ориентироваться в ситуации. Используйте надежные источники, такие как медицинские сайты и публикации, чтобы получить актуальную информацию.
СОВЕТ №3
Обсуждайте все варианты лечения с врачом. Нейробластома требует комплексного подхода, и важно рассмотреть все доступные методы лечения, включая химиотерапию, радиотерапию и хирургическое вмешательство. Не стесняйтесь задавать вопросы и искать второе мнение, если это необходимо.
СОВЕТ №4
Поддерживайте эмоциональное состояние ребенка и семьи. Диагноз нейробластомы может быть тяжелым испытанием для всей семьи. Обеспечьте поддержку вашему ребенку, создавая комфортную и безопасную атмосферу, а также не забывайте о собственном эмоциональном здоровье, обращаясь за помощью к психологам или группам поддержки.








