Желтые пятнышки на зубах у детей непривлекательны с эстетической точки зрения. Кроме того, они могут свидетельствовать о появлении проблем со здоровьем в целом. Почему появляются цветные пятна? Как избавиться от желтизны и придать улыбке голливудскую белоснежность? Чем могут быть вызваны изменения цвета? Что советуют стоматологи?
Почему появляется налет на зубах у детей?
У ребят всех возрастов зубы могут покрываться налетом по разным причинам. При этом механизм образования всех видов налета одинаковый. Через некоторое время после чистки к эмали в огромных количествах «пристают» микробы и бактерии. После каждого приема пищи число таких микроорганизмов превышает миллион. Именно из-за таких каждодневных атак покрытие меняет цвет.
Помимо перекусов, на окрас эмали могут оказывать влияние медикаменты, которые принимает ребенок, наследственность или травмы, приведшие к повреждению зубов. Важно понимать, какие могут быть причины потемнения.
Врачи отмечают, что желтый налет и пятнышки на зубах у детей могут возникать по различным причинам. Одной из основных является недостаточная гигиена полости рта. Неправильная чистка зубов или редкое использование зубной нити могут способствовать накоплению налета, который со временем становится более заметным. Также причиной потемнения эмали могут быть пищевые красители, содержащиеся в некоторых продуктах, таких как ягоды, соки и сладости.
Кроме того, стоматологи подчеркивают, что некоторые заболевания, такие как флюороз или гипоплазия эмали, могут приводить к изменению цвета зубов. Важно отметить, что генетические факторы также могут играть роль в состоянии зубной эмали.
Для решения проблемы врачи рекомендуют регулярные визиты к стоматологу, профессиональную чистку зубов и обучение детей правильной гигиене полости рта. В случае серьезных изменений цвета эмали необходимо провести дополнительное обследование для выявления возможных заболеваний.

Причины появления пятнышек на зубах
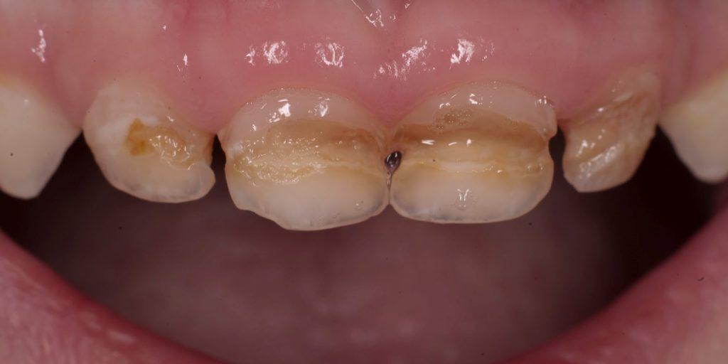
Желтый налет на зубах у ребенка может иметь различное происхождение. Самые распространенные причины потемнения эмали:
- наследственность (предрасположенность к потемнению может передаваться от родителей);
- патологические процессы в печени (гепатит или желтуха);
- гипоплазия (недоразвитость зуба или эмали);
- повреждения (травматического или термического характера);
- прием или использование препаратов на основе тетрациклина;
- нерегулярная, недостаточно тщательная чистка;
- употребление в пищу продуктов, обладающих сильными красящими свойствами (чай, кофе, соки, некоторые виды овощей).
Чаще всего появление желтых зубов у ребенка не имеет серьезных и страшных причин. Чтобы точно быть уверенными в здоровье малыша, родителям стоит записать его на прием к стоматологу.
Почему растут желтые коренные зубы?
Многие родители замечают бежевые или молочного цвета пятна на эмали у ребенка, но не предпринимают никаких действий, считая, что проблемы нет. Это ошибочное мнение, которое может привести к дальнейшим проблемам. Пожелтение эмали может свидетельствовать о начальном этапе развития кариеса.
Чаще всего постоянные желтые зубы у ребенка появляются из-за недостаточной гигиены, но в некоторых случаях изменение цвета эмали обусловлено иными причинами:
- сильнейший токсикоз во время беременности;
- перенесенные будущей матерью заболевания инфекционного или вирусного характера;
- употреблению ею во время вынашивания или грудного вскармливания антибиотиков тетрациклиновой и амоксициллиновой групп;
- рождение ребенка раньше срока (недоношенность);
- резус-конфликт в период беременности.
По мере того, как растет младенец и у него начинают лезть зубки, родителям важно следить за их поверхностью. Это необходимо, чтобы не запустить состояние. На фото можно посмотреть зубик, который едва вылез, но уже покрылся желтым налетом.
Желтый налет и пятнышки на зубах у ребенка — распространенная проблема, вызывающая беспокойство у родителей. Часто причиной потемнения эмали становится неправильная гигиена полости рта. Остатки пищи и налет, не удаляемые при чистке, могут привести к образованию желтых пятен. Также на цвет зубов влияют диета и употребление определенных продуктов, таких как сладости и газированные напитки.
Некоторые родители замечают, что у их детей эмаль потемнела после приема антибиотиков или других медикаментов. Важно помнить, что генетические факторы и недостаток фтора также могут способствовать изменению цвета зубов.
Чтобы решить эту проблему, необходимо регулярно чистить зубы, использовать зубную пасту с фтором и посещать стоматолога для профилактических осмотров. Врач сможет оценить состояние зубов и предложить подходящие методы лечения, включая профессиональную чистку. Заботясь о здоровье зубов с раннего возраста, можно избежать серьезных проблем в будущем.

Что делать и как лечить?
Узнать точную причину желтого налета на зубах у ребенка поможет стоматолог. После осмотра он предложит метод лечения.
Если налет появился из-за обычных отложений, образующихся из-за пищи, лечение ограничивается применением специального скребка, которым счищается ненужное пятно. При необходимости процедура дополняется обработкой абразивной (грубой, с крупными очищающими компонентами) пастой. Такой метод называется профессиональной чисткой. После него стоматологи советуют применять специальные пасты, ополаскиватели и мази для укрепления зубной эмали. Обычно используются такие средства: Профокар, Ремодент или Глуфторед.
При изменении цвета вследствие употребления антибиотиков (тетрациклина) применяется ультрафиолетовое излучение. Такой свет ускоряет распад компонентов лекарства и вывод их из детского организма. Способ считается безопасным для детей. Тетрациклин не рекомендуют использовать детям до 7–8 лет. Некоторые педиатры прописывают мазь малышам, начиная с возраста 1 года, поэтому у годовалых детей иногда желтеют зубы.
Генетические изменения сложнее поддаются коррекции. В большинстве случаев эмаль либо очень тонкая, либо отсутствует практически на всей поверхности маляра. В некоторых случаях укрепление верхнего слоя не приносит улучшения, поэтому на пострадавшие участки ставятся коронки.
Правильная гигиена полости рта
Помимо профессиональной чистки, существуют методы, помогающие соблюдать чистоту полости рта в домашних условиях. Правила гигиены достаточно просты:
- использовать подходящие щетки и пасты;
- чистку начинать с внутренней стороны, потом перейти на внешнюю поверхность;
- заканчивать очищение следует верхушкой;
- угол наклона щетины по отношению к поверхности зуба – 45 градусов;
- движения не должны быть резкими и причиняющими дискомфорт;
- при чистке внутренней и внешней частей движения должны совершаться снизу-вверх;
- каждый маляр чистится минимум 10 раз;
- начинать необходимо с передних зубов верхней челюсти, передвигаясь к коренным и обратно;
- рекомендуется использовать ирригатор – устройство, очищающее с помощью струи воды, под напором;
- обязательно очищать язык (для этого используются щетки со специальными поверхностями, ополаскиватели и другие приспособления).
Чистить зубы следует дважды в день. Особенно важно не пропускать вечернюю чистку, так как ночью в полости рта скапливается максимальное число бактерий.
Полноценный и сбалансированный рацион
При составлении рациона ребенка важно учитывать, что любая пища оказывает влияние на состояние маляров. Несколько рекомендаций по выбору продуктов для полноценного и сбалансированного меню, которое пойдет на пользу зубам и деснам ребенка:
- продукты, содержащие кальций (пищевой мак, молочная продукция, орехи, зелень, гречиха, ячневая крупа, геркулес, мясо, птица, рыба, виноград, персики, апельсины, абрикосы, белокачанная и краснокачанная капуста, картофель, редис);
- фосфоросодержащая пища (рис, кукуруза, овсянка, гречиха, попкорн, семечки, помидоры, картофель, чеснок, яблоки, малина, чернослив, морепродукты, птица, яйца, мясо).
Советы стоматологов
Любой стоматолог скажет, что в домашних условиях избавиться от желтого налета у детей можно только в том случае, если изменение цвета вызвано пищей. Такое образование удалить проще всего. Регулярная чистка зубов и языка поможет избавиться от налета. Для большего эффекта можно воспользоваться некоторыми советами стоматологов по отбеливанию зубов:
- для детей старшего возраста и подростков допустимо использование зубной нити и специальных кап с гелем, отбеливающим зубы;
- не стоит использовать перекись водорода, соду или лимонный сок – можно повредить эмаль и ухудшить ее состояние;
- можно использовать скраб из клубники, соли и соды (использовать не чаще одного-двух раз в месяц);
- апельсиновая кожура отбеливает зубы за несколько недель за счет содержащегося в ней витамина C;
- помимо обычной зубной пасты, раз в неделю следует использовать отбеливающую (например, President или Lacalut).
Рекомендации для профилактики
Для того чтобы не допустить появления желтых пятен на зубах у ребенка, важно соблюдать некоторые рекомендации врачей-стоматологов:
- все средства для гигиены полости рта стоит приобретать в специализированных магазинах или в аптеках;
- проходить плановые осмотры у стоматолога;
- чистить зубы не более двух раз в день (можно повредить эмаль и десны, если делать это чаще);
- не использовать зубную щетку дольше 2 месяцев;
- курящим подросткам стоит отказаться от пагубной привычки;
- тщательно пережевывать пищу;
- употребление твердых фруктов способствует очищению поверхности зубов;
- после еды можно пожевать жвачку в течение 20 – 30 минут.
https://youtube.com/watch?v=XBLLj6l8Yxk%3Fwmode%3Dtransparent%26autohide%3D1%26controls%3D1%26disablekb%3D0%26showinfo%3D1%26fs%3D1%26iv_load_policy%3D3%26modestbranding%3D1%26rel%3D0%26start%3D3%26autoplay%3D0
Вопрос-ответ
Почему у ребенка желтеет эмаль зубов?
Причины могут быть следующими: Неправильный или недостаточно сбалансированный рацион питания Недостаточная гигиена или неправильный уход за полостью рта Прием разнообразных лекарственных средств или различные медикаментозные лечения
Как убрать желтый налет с детских зубов?
Механическая чистка. Избавиться от желтого налета на зубах у детей можно с помощью специальной абразивной пасты и щетки. Но следует отметить, что проводить эту манипуляцию можно только в кабинете врача и не чаще одного раза в 3–4 месяца.
Что вызывает появление желтых пятен на молочных зубах?
Плохая гигиена полости рта Эта халатность приводит к плохой гигиене полости рта. В таких случаях еда, напитки и другие вещества скапливаются на зубах ребенка и обесцвечивают эмаль. Это пятно далее перемещается на зубную пленку и обесцвечивает всю структуру, вызывая желтизну зубов у ребенка.
Почему темнеет зубная эмаль у детей?
Это необратимое состояние вызвано большим потреблением фторидов во время формирования зачатков зубов. Фториды повреждают эмаль-формирующие клетки, что нарушает процесс минерализации зуба. В дальнейшем такая пористая поверхность делает зубы темно-желтыми.
Советы
СОВЕТ №1
Регулярно проводите осмотры у стоматолога. Посещения стоматолога каждые 6 месяцев помогут выявить проблемы с зубами на ранней стадии и предотвратить их усугубление. Специалист сможет дать рекомендации по уходу за зубами и выявить причины потемнения эмали.
СОВЕТ №2
Обратите внимание на гигиену полости рта. Убедитесь, что ваш ребенок чистит зубы не менее двух раз в день с использованием фторсодержащей зубной пасты. Также не забывайте о чистке языка и использовании зубной нити для удаления налета между зубами.
СОВЕТ №3
Следите за питанием ребенка. Ограничьте потребление сладостей и кислых продуктов, которые могут способствовать образованию налета и потемнению эмали. Включите в рацион больше овощей, фруктов и молочных продуктов, которые способствуют укреплению зубов.
СОВЕТ №4
Обучайте ребенка правильным привычкам. Научите ребенка не пить сладкие напитки и не есть закуски между основными приемами пищи. Это поможет снизить риск образования налета и сохранить здоровье зубов на долгие годы.







