Гингивит (воспаление тканей десен) занимает первое место среди стоматологических заболеваний у детей. По статистике, более 80% ребят к подростковому возрасту уже переболело им. При отсутствии помощи воспалительный процесс переходит в затяжную хроническую форму, которая сложнее поддается лечению и может вызвать осложнения. Симптомы гингивита не следует игнорировать, лечением болезни занимается детский стоматолог и пародонтолог.
Почему у детей появляется гингивит?
Десны малышей уязвимы к воздействию неблагоприятных факторов, так как иммунитет ослаблен к влиянию патогенной микрофлоры. При подходящих условиях (вирусная инфекция, заболевания внутренних органов, стресс) формируется благоприятная среда для начала воспаления десен. Почему возникает гингивит у детей? Выделяют следующие причины:
- Механические травмы тканей (царапина, термический ожог, случайное прикусывание слизистой оболочки полости рта). Нередко к травмам приводит использование зубной щетки, употребление грубой пищи.
- Бактерии и микробы. В результате размножения микроорганизмов образуется мягкий налет. При правильной чистке он проходит, однако плохая гигиена полости рта приводит к его распространению, образованию твердого налета и зубного камня.
- Нагрузка на челюсти и зубки — неправильный прикус, короткая уздечка.
- Биологические агенты. Кариозные зубы – очаг инфекции, которая легко распространяется на десны, вызывает покраснение и неприятные ощущения.
- Длительное прорезывание зубов. В месте выхода зуба скапливаются микробы. Если ребенок в 2-4 года плохо ухаживает за полостью рта, болезнетворные микроорганизмы вызывают воспалительный процесс.
Врачи отмечают, что гингивит у детей может проявляться различными симптомами, включая покраснение и отечность десен, кровоточивость при чистке зубов, неприятный запах изо рта и повышенную чувствительность десен. Эти признаки могут указывать на воспалительный процесс, который требует внимания. Важно, чтобы родители не игнорировали эти симптомы и своевременно обращались к стоматологу.
Для лечения воспаленных десен в домашних условиях специалисты рекомендуют регулярную гигиену полости рта, включая тщательную чистку зубов дважды в день и использование зубной нити. Полоскания с раствором соли или соды могут помочь уменьшить воспаление и облегчить дискомфорт. Также полезно применять антисептические ополаскиватели, предназначенные для детей. Однако, несмотря на возможность домашнего лечения, консультация с врачом остается обязательной для предотвращения осложнений и определения дальнейшей терапии.

Виды гингивита и соответствующие симптомы
Воспаление десен может иметь острое и хроническое течение. Наиболее распространена катаральная форма, которая при отсутствии профессионального лечения переходит в гипертрофическую и язвенную стадию. Каждая из них имеет свои признаки и особенности течения.
У детского гингивита есть общие симптомы болезни:
- воспаление десен в той или иной степени;
- кровоточивость мягких тканей;
- красные десна у ребенка;
- зубные отложения;
- неприятный запах изо рта.
Острая или катаральная форма гингивита
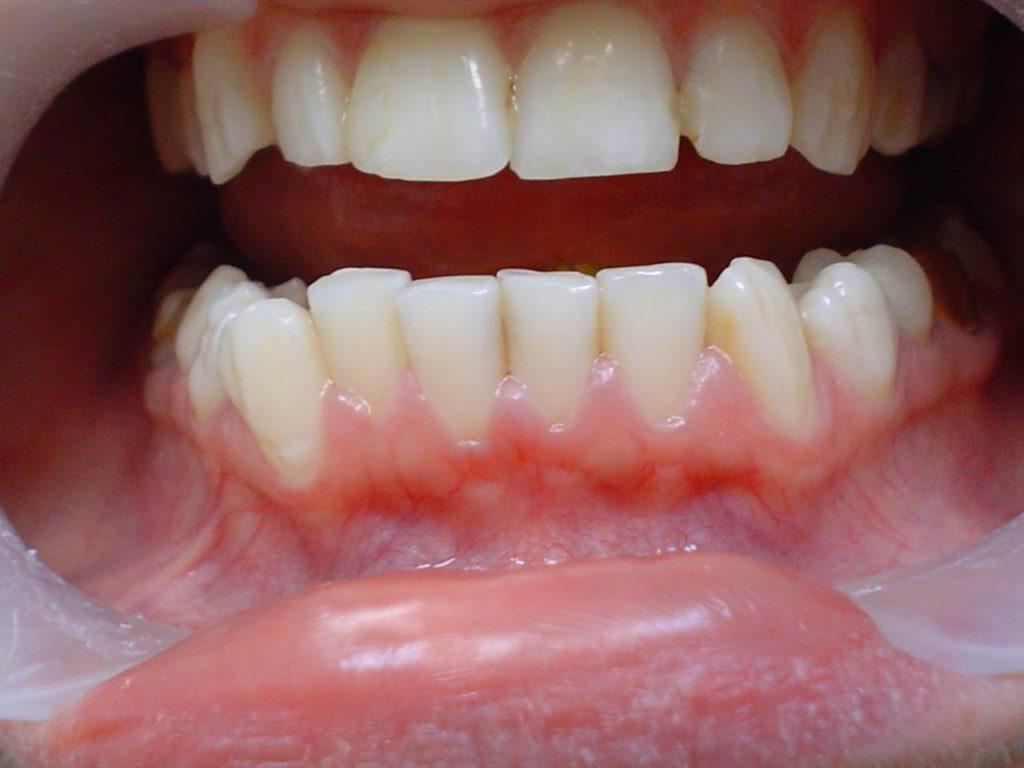
Катаральная форма гингивита считается наиболее распространенной — до 99% малышей страдает этим типом заболевания. Причина болезни – плохая гигиена ротовой полости. Если мягкий налет не очищается до конца, со временем он переходит в твердые отложения. В этом случае развивается гингивит. Катаральную форму сопровождают кровоточивость и болезненность десен, отечность, зубной камень. Неестественно синий цвет десен в области шеек зубов свидетельствует о хронической стадии заболевания.
Гингивит — распространенное заболевание десен, особенно у детей. Родители часто замечают, что у их детей десны становятся красными, отечными и начинают кровоточить при чистке зубов. Часто дети жалуются на дискомфорт или боль в области рта, что может привести к отказу от еды. Важно обратить внимание на эти симптомы и не игнорировать их.
Для лечения воспаленных десен в домашних условиях можно использовать несколько простых методов. Полоскания солевым раствором помогают уменьшить воспаление и очистить рот от бактерий. Также полезно применять отвары ромашки или шалфея, которые обладают противовоспалительными свойствами. Регулярная гигиена полости рта, включая чистку зубов мягкой щеткой и использование зубной нити, играет ключевую роль в профилактике и лечении гингивита. Если симптомы не проходят, стоит обратиться к стоматологу для получения профессиональной помощи.
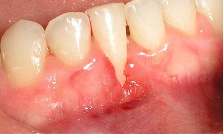
Атрофическая форма заболевания
Причиной возникновения атрофической формы гингивита (можно увидеть на фото) является неправильное лечение у ортодонта. Покраснение и воспаление в этом случае минимальные. Однако обнажается шейка зуба, происходят быстрые дистрофические изменения десневых краев. Еще один характерный симптом – болезненная реакция десен и зубных шеек на горячие и холодные блюда.
Гипертрофический гингивит
Гипертрофическая форма болезни наблюдается в передней части челюстей, обычно остается незамеченной родителями из-за отсутствия жалоб ребенка. Только при запущенной стадии неприятные ощущения усиливаются, и малыш испытывает дискомфорт. Симптомы в хронической форме:
- налет на деснах (рекомендуем прочитать: );
- нагноение;
- припухлость десневых сосочков;
- багрово-синий цвет пораженных зон;
- образование пародонтальных карманов.
Одной из разновидностей гингивита такого типа является фиброзная форма. Воспаление в этом случае вызвано осложнением катаральной формы, сбоями в гормональном фоне, повреждением десневых тканей пломбой. Фиброзное разрастание локализуется в районе одной или нескольких зубных единиц.
Язвенная форма болезни
При отсутствии своевременной терапии катаральный гингивит у детей переходит в язвенную форму. Бактерии размножаются беспрепятственно, так как иммунитет малыша не может с этим справиться.
На начальной стадии появляются язвочки (из-за этого язвенную форму можно перепутать с герпетической), а впоследствии наблюдается некроз и отмирание тканей. Определить опасное заболевание позволяют следующие признаки:
- язвы во рту;
- запах гнили;
- общее недомогание;
- повышение температуры;
- проблемный участок десны приобретает белый цвет.
Методы диагностики
Диагностику в стоматологической клинике проводят детский зубной врач или пародонтолог. Специалистам достаточно визуального осмотра с помощью профессиональных инструментов. Оценивается состояние десен, характер отложений, распространение воспаления (кровоточивость, гиперемия). Чаще всего параллельно диагностируется кариес, проблема с прикусом и уздечкой языка. Таким образом, терапия гингивита включает санацию полости рта и устранение факторов, которые спровоцировали красные десны и воспаление.
https://youtube.com/watch?v=t-urGQZhJC0%3Fwmode%3Dtransparent%26autohide%3D1%26controls%3D1%26disablekb%3D0%26showinfo%3D1%26fs%3D1%26iv_load_policy%3D3%26modestbranding%3D1%26rel%3D0%26autoplay%3D0
Современные стоматологические методы лечения
Стоматологическая практика знает немало методов, как успешно лечить гингивит у младенцев и детей, начиная с медикаментозной терапии и заканчивая профессиональной чисткой. Выбор способа зависит от возраста, вида и особенностей патологии, состояния полости рта ребенка.
В первую очередь проводится тщательная чистка поверхности зубов с помощью ультразвука. Это наиболее безопасный и щадящий метод профессиональной чистки зубов в детском возрасте, при котором врач обрабатывает каждый зубик малыша, снимает камень и налет, оставляя их поверхность чистой.
В трудных случаях нужно проводить процедуру кюретажа – очищение зубной эмали от отложений под десной с помощью специальных инструментов. В запущенной стадии может потребоваться криодеструкция пораженных десневых сосочков, гингивопластика лазером.
Затем назначается курс противовоспалительной терапии на дому с использованием антисептиков и обезболивающих препаратов. После того, как воспаление пройдет, рекомендуются различные физиотерапевтические процедуры – массаж десен, электрофорез, фонофорез.
Как лечить в домашних условиях?
После профилактической чистки врач назначает противовоспалительный курс терапии в домашних условиях, который направлен на устранение симптомов гингивита – тошноты, общей слабости, головной боли, увеличения лимфоузлов. После того, как воспаление проходит, начинается следующий этап — лечение кариеса, замена проблемных пломб, поиск очагов инфекции в носоглотке, терапия сопутствующих заболеваний.
На каждом из этапов лечения заболевания десен у детей в решении проблемы принимают участие разные специалисты (стоматолог, пародонтолог, детский ортодонт, эндокринолог, аллерголог, иммунолог). Устранение причины гингивита позволит предотвратить рецидив возникновения воспалительного процесса в дальнейшем.
Сколько длится лечение гингивита у детей? Обычно воспаление лечится 10-20 дней при полном контроле со стороны специалистов. В запущенных случаях лечение зависит от стадии и характера патологии. Главная задача врача – предотвращение перехода заболевания в хроническую форму и некроза тканей.
Медикаментозный подход
Самостоятельный выбор методики лечения запрещен, только лечащий врач может определить правильную схему терапии гингивита у ребенка и назначить соответствующие медицинские препараты. При этом специалист опирается на характер патологии и самочувствие пациента. При температуре и общем недомогании рекомендуется принимать Нурофен, Панадол. Появление гингивита свидетельствует о местном снижении иммунитета. Вследствие этого малышу могут быть назначены иммуномодулирующие препараты, витамин С, который поможет создать барьер для бактерий. Если к гингивиту присоединился стоматит, назначаются противовирусные лекарства. Бактериальная инфекция требует применения антибиотиков.
Противовоспалительные и обезболивающие лекарственные средства
После профессиональной чистки нужна полировка эмали специальными щеточками. Они бережно и тщательно полируют зубки, оставляя их чистыми и блестящими. Следующий этап – применение противовоспалительных препаратов и обезболивающих лекарств. Они предотвращают кровоточивость десен, снимают покраснение и боль. Курс лечения у детей включает использование следующих препаратов:
- Хлоргексидин (0,05% раствор). После профессиональной чистки с целью профилактики и, если десна покраснели, присоединился стоматит, нужно полоскать рот 10 дней.
- Мирамистин (с трех лет). Полоскать по 3 раза в день в течение двух недель.
- Холисал гель. Закладывать по два раза в сутки. Курс терапии – 10 дней. Если при гингивите болит и опухла десна, наблюдается покраснение возле прорезавшегося молочного зуба допускается использовать лекарство с грудного возраста.
- Метрогил дента. Аппликации делают после обработки антисептиками. Длительность лечения – 1,5 недели. Рекомендуется к применению с 6 лет при гингивите, если у малышей воспаленные и опухшие десна.
Использование антисептиков
Для поддержания здоровой микрофлоры полости рта детям назначаются антисептические препараты. В зависимости от возраста и характера воспалительного процесса используются:
- Фурацилин. Таблетку растворить в стакане теплой воды. Делают полоскания каждые 4-5 часов.
- Гексетидин. Полоскать ротовую полость раствором 3-4 раза в течение дня. Запрещено глотать жидкость и вдыхать ее пары.
- Стоматидин. Ускоряет процесс восстановления эпителия нежной слизистой оболочки, снижает риск кариеса. Используется в неразбавленном виде для полосканий дважды в сутки. Хорошо помогает при дополнительном присоединении стоматита.
- Гексорал. Обладает широким противомикробным и противогрибковым действием. Противопоказан для детей до трех лет.
Антибактериальные и противовирусные препараты
При гнойной форме заболевания могут назначаться антибиотики. Вид препарата и дозировка подбирается в зависимости от типа возбудителя. Зачастую используются антибиотики Эритромицин, Метронидазол, Цефалексин и другие. Назначение антибиотиков зависит от следующих факторов:
- отсутствие положительных результатов основной терапии;
- ослабленный иммунитет малыша;
- незаживающие очаги воспалений на деснах.
Из противовирусных препаратов при герпетической форме заболевания назначаются мази и таблетки на основе действующего вещества ацикловир (Зовиракс, Ацивир, Герпевир). При использовании таких серьезных препаратов важно четко следовать инструкции и назначениям доктора.
Средства народной медицины
Народные средства дополняют общую терапию гингивита. Перед их применением важно убедиться в отсутствии аллергии у ребенка на компоненты смесей и проконсультироваться с доктором. Наиболее эффективны полоскания по следующим рецептам:
- Шалфей. Залить 2 ст.л. сырья 0,5 л закипевшей воды. Прокипятить 15 минут, настоять в течение часа. Для устранения кровоточивости десен и воспалительного процесса полоскать процеженным отваром полость рта 3 раза в сутки. Средство хорошо помогает, если у ребенка воспалилась десна около молочного зуба.
- Сосновые иглы. Залить горячей водой сырье (1-2 ст.л.), довести до кипения, затем настоять 30-40 минут. Антимикробным настоем необходимо полоскать ротовую полость по 5 раз в день.
- Аптечная ромашка и липа. Сухую смесь залить кипятком, поставить на медленный огонь на 20 минут, настоять полчаса. Применять для полосканий 3 раза в день. Каждый раз следует готовить новый объем жидкости.
- Алоэ. Жевать (но не глотать) очищенные и промытые мясистые листья.
- Общеукрепляющие травяные сборы. Сырье душицы, перечной мяты и зверобоя смешать в пропорции 1:2:1. Взять две столовые ложки (с горкой) смеси, залить стаканом закипевшей воды, проварить полчаса. Настоять пару часов, каждые 4 часа полоскать полость рта процеженной жидкостью. Сбор эффективен, когда кровоточат десны.
- Масло зверобоя, шиповника. Используется для обработки десен до 3 раз в день.
Профилактические меры
Полное излечение гингивита возможно только при соблюдении назначений доктора и лечения сопутствующих заболеваний, ставших первоисточником. Терапия должна быть активной, так как длительное течение провоцирует распространение очага поражения и возникновение пародонтита.
Профилактические мероприятия значительно снижают риск появления гингивита и его рецидивов:
- правильный уход за ротовой полостью, подбор подходящей щетки и пасты;
- приучение малыша к использованию ирригаторов (с устройством можно познакомить, когда он научится правильно держать зубную щетку и хорошо полоскать рот);
- регулярные стоматологические осмотры и профессиональная чистка;
- использование ополаскивателей на основе трав для антисептического и общеукрепляющего воздействия на десны;
- контроль употребления газированных напитков и сладостей, которые прилипают к зубам – ирис, козинаки, карамель;
- пополнение рациона свежими фруктами (яблоки, груши, персики).
При соблюдении правил гигиены и внимательном отношении к детскому здоровью гингивит не будет угрозой для ребенка 2 лет и старше. Родителям важно не игнорировать посещение стоматолога при первых жалобах малыша на зубную боль или дискомфорт.
https://youtube.com/watch?v=ld096UkajXU%3Fwmode%3Dtransparent%26autohide%3D1%26controls%3D1%26disablekb%3D0%26showinfo%3D1%26fs%3D1%26iv_load_policy%3D3%26modestbranding%3D1%26rel%3D0%26autoplay%3D0
Вопрос-ответ
Чем лечить гингивит у детей в домашних условиях?
Если речь идет о гингивите у детей, лечение в домашних условиях лучше начинать с полосканий фурацилином — он считается безопасным даже для малышей. Мирамистин можно применять с 3 лет, а вот хлоргексидин стоит использовать только взрослым. Мази и гели.
Чем можно быстро снять воспаление десны у ребенка?
Стоматологические гели и растворы для полоскания Растворы для полоскания на основе фурацилина, хлорофилла, лекарственных растений – ротокан, стоматофит, хлорофиллипт. Специальные стоматологические гели, обогащённые противовоспалительными компонентами, например прополисом, также помогут снять воспаление дёсен.
Чем полоскать рот при гингивите у детей?
Вместо Хлоргексидина можно полоскать рот одним из следующих противовоспалительных средств: Lacalut Activ, Гексорал (0, 1%), Мирамистин, Стоматофит. Рекомендуется обработка дёсен лечебным гелем. Врач подберёт гель с учётом клинической картины – например, Холисал, Пародонтоцид или Curasept.
Чем мазать десну при гингивите?
Асепта. Средство поможет справиться с кровоточивостью и устранить боль. Метрогил Дента. Противомикробное лекарство с антибактериальным и антисептическим средством в составе. Солкосерил. Помогает регенерации поврежденных тканей. Холисал. Обезболивающее и противомикробное средство.
Советы
СОВЕТ №1
Регулярно проверяйте состояние десен вашего ребенка. Обратите внимание на такие симптомы, как покраснение, отечность или кровоточивость десен. Если вы заметили эти признаки, не откладывайте визит к стоматологу.
СОВЕТ №2
Обучите ребенка правильной гигиене полости рта. Убедитесь, что он чистит зубы дважды в день и использует зубную нить. Это поможет предотвратить накопление налета и развитие гингивита.
СОВЕТ №3
Используйте натуральные средства для облегчения воспаления десен. Полоскания с раствором соли или отварами трав, таких как ромашка или шалфей, могут помочь снять воспаление и успокоить десна.
СОВЕТ №4
Следите за питанием ребенка. Убедитесь, что в его рационе достаточно витаминов и минералов, особенно витамина C, который способствует здоровью десен. Избегайте избыточного потребления сахара, который может способствовать развитию кариеса и гингивита.








